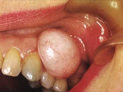
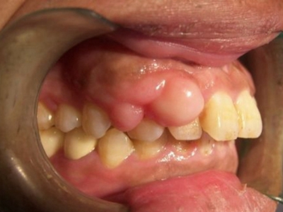
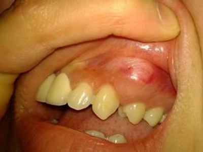
牙龈瘤症状图片

本文由有来医生原创,经专业医师审核校对
所有图片质量和准确性经专业医生严格审查

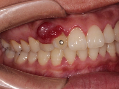
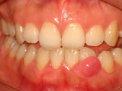
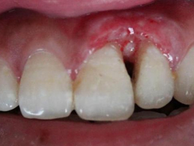
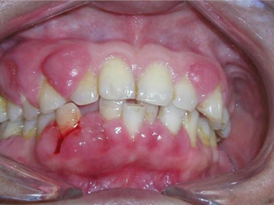
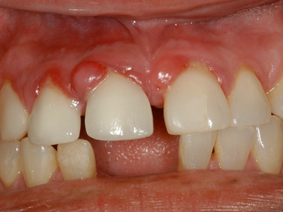
牙龈瘤是指发生在龈乳头部位的炎症反应性瘤样增生物,好发于女性,前磨牙区最为常见。牙龈瘤来源于牙周膜及牙龈的结缔组织,因其无肿瘤的生物学特征和结构,故非真性肿瘤,但切除后易复发,因此切除务必彻底,必要时拔除相关牙齿。

牙龈瘤症状图片

牙龈瘤相关知识

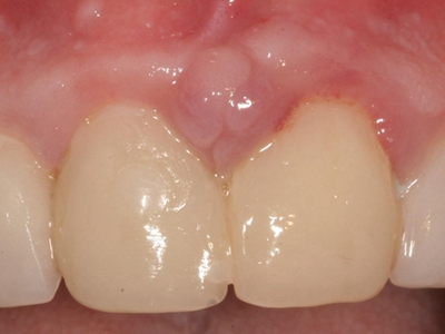
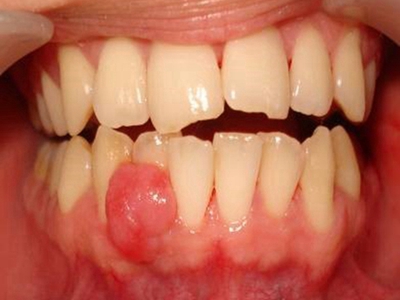
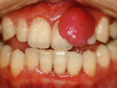
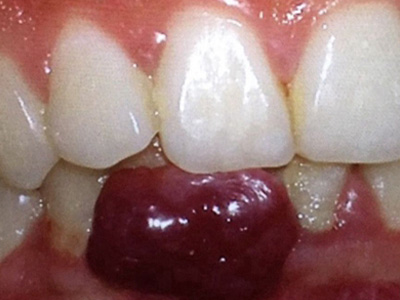
牙龈瘤多发于女性,以青年及中年人为常见,多发生于牙龈乳头部,位于唇、颊侧者较舌、腭侧者多,最常见的部位是前磨牙区。肿块较局限,呈圆形或椭圆形,有时呈分叶状,大小不一,直径由几毫米至数厘米。
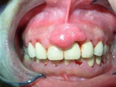
肿块有的有蒂,如息肉状;有的无蒂,基底宽广,生长较慢,但在女性妊娠期间可能迅速增大。较大的肿块可以遮盖一部分牙及牙槽突,表面可见牙压痕,易被咬伤而发生溃疡,伴发感染。随着肿块的增长,牙槽骨壁逐渐被破坏,牙可能发生松动、移位。
局部刺激因素,包括菌斑、牙石、食物嵌塞或不良修复体的刺激,引起局部长期慢性炎症,致使牙龈结缔组织形成反应性增生物,即牙龈瘤。此外,牙龈瘤可能和内分泌有关,妇女怀孕期间容易发生牙龈瘤,而分娩后会缩小或停止生长。
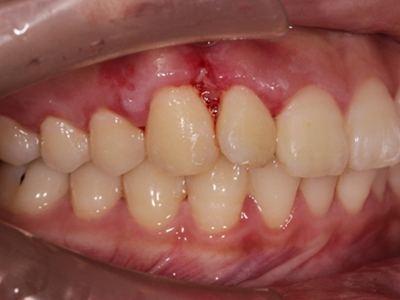
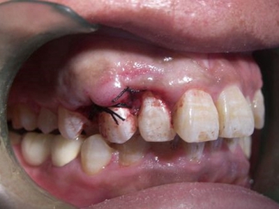
对于牙龈瘤可在局麻下手术切除,切除必须彻底,否则易复发。如果复发,仍可手术切除。多次复发者,即使病变波及的牙无松动,也应将牙拔除,防止再发。

参考文献

[1]张志愿.口腔科学.第9版[M].北京.人民卫生出版社.2018.169.

[2]孟焕新.牙周病学.第5版[M].北京.人民卫生出版社.2020.140-141.

[3]张震康,俞光岩,徐韬.实用口腔科学.第4版[M].北京.人民卫生出版社.2016.96.

相关科普