
青霉素过敏性休克是一种严重的、可能危及生命的过敏反应,其临床表现主要包括皮肤黏膜表现、呼吸系统表现等几个方面,可出现瘙痒、皮疹、水肿、喉头水肿和支气管痉挛等。
1、瘙痒:是比较早期出现的症状。患者首先会感到皮肤瘙痒,瘙痒的程度不一,可能是局部的轻微瘙痒,也可能是全身难以忍受的瘙痒。

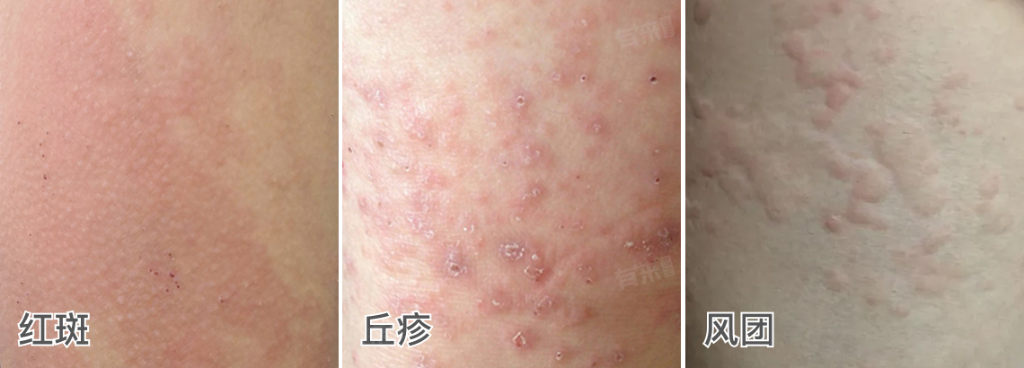
2、皮疹:随后会出现皮疹,常见的有红斑、丘疹、风团等。红斑表现为皮肤局部或广泛的红色区域,边界可能清晰或模糊;丘疹是高出皮肤表面的小疙瘩;风团就是我们常说的“风疹块”,边界清楚、大小不等、形状不一的水肿性隆起,通常伴有剧烈瘙痒,颜色可以是红色、白色或肤色。

3、水肿:主要表现为口唇、眼睑、耳垂等部位的肿胀。肿胀可能是突然发生的,患者会感觉这些部位有紧绷感、胀满感。如口唇可能会变得肿胀、发亮,严重时会影响正常的进食和说话;眼睑肿胀可能导致眼睛难以睁开。
1、喉头水肿:这是青霉素过敏性休克非常严重的症状,会导致呼吸困难。喉头水肿时,患者会感觉喉咙发紧、堵塞,声音变得嘶哑,甚至完全发不出声音。
2、支气管痉挛:患者出现喘息,呼吸时能听到哮鸣音,就像吹哨子一样的声音。随着病情的发展,呼吸困难会越来越严重,患者会感觉呼吸急促、费力,甚至不能平卧,需要坐起来或者采取前倾位才能稍微缓解呼吸困难。
3、鼻塞和流涕:类似于普通感冒的症状,鼻腔黏膜充血、水肿,导致鼻腔通气不畅,出现鼻塞,同时鼻腔分泌物增多,产生流涕。
1、心慌和心悸:患者能明显感觉到自己的心跳加快、加强,这是因为过敏反应引发的身体应激反应,使交感神经兴奋,释放肾上腺素等激素,刺激心脏,导致心率加快。
2、血压下降:可能导致头晕、眼前发黑、晕厥等症状。患者可能会感觉头晕目眩,周围的景物在旋转,站立不稳。严重的血压下降会使脑部等重要器官的血液灌注不足,出现意识障碍,如意识模糊、谵妄甚至昏迷。
1、立即停用青霉素
一旦发现患者出现青霉素过敏性休克的症状,如皮肤瘙痒、呼吸困难、心慌等,要马上停止正在进行的青霉素注射或输注。如果是静脉输液,应立即关闭输液器的调节器,同时保留静脉通路,以便后续的药物治疗。
2、维持呼吸道通畅
3、注射肾上腺素
肾上腺素是救治青霉素过敏性休克的关键药物,立即皮下或肌内注射。如果病情严重,如患者出现心跳骤停等情况,可将肾上腺素稀释后进行静脉注射,但具体需听从医嘱。