(声明:本文仅用于科普用途,为了保护患者隐私,以下内容里的相关信息已进行处理)
摘要:开放性骨折指的是骨折端与外界相通,致伤原因可能是骨折端刺破皮肤所致,也可能是暴力直接损伤皮肤软组织导致。本病例患者是因为车辆肇事导致的小腿开放性粉碎性骨折,软组织损伤严重,因此在治疗中应首先控制感染,其次才是治疗骨折。给予患者药物控制感染,并给予手术治疗骨折,术后,创口愈合,骨折愈合,行走恢复正常。
【基本信息】男、41岁
【疾病类型】开放性骨折
【就诊医院】哈尔滨医科大学附属第一医院
【就诊时间】2020年12月
【治疗方案】手术治疗(外固定架固定术、骨折切开复位内固定手术)+静脉滴注药物治疗(注射用头孢曲松钠、生理氯化钠溶液、聚明胶肽注射液)+肌肉注射治疗(破伤风抗毒素)+输血治疗(血浆)
【治疗周期】第1次手术于门诊当天完成,第2次手术在3个月后,治疗1年后随访
【治疗效果】创口愈合,骨折愈合,行走恢复正常
一、初次面诊
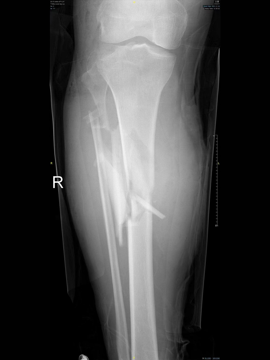
患者因为车祸导致的小腿开放性骨折,据患者描述:车祸发生时原本站在车尾,却被追尾的后车夹在两辆车之间。受伤后小腿出现肿胀、流血、畸形,由120急救车送到急诊室。刚到院时,小腿被夹板固定,可以看到被血液浸湿的绷带。拆除敷料进行初步查体:小腿存在多处伤口,一处较大的伤口长约15cm,内部填满了泥土,还能看见外露的骨折端。X光片显示胫腓骨多处骨折。患者最终确诊为开放性骨折。

二、治疗经过
患者属于严重的开放性骨折,需要手术治疗,因此紧急进行术前准备,患者立即开始禁食、禁水,试敏阴性后应用头孢类抗生素,如注射用头孢曲松钠,肌注破伤风抗毒素,静脉注射生理氯化钠溶液、聚明胶肽注射液行补液治疗,扩充血容量,同时准备红细胞和血浆,一切准备完成后。急诊开始手术治疗,首先彻底清除创口内存在的泥土、玻璃等异物,并将损伤局部坏死的软组织清除,使用外固定架跨越伤口固定骨骼,术中输血浆400ml。第一次手术后,创口定期换药,通畅引流,伤口愈合后,患者出院回家静养。出院后3个月,患者的血常规、血沉、C反应蛋白恢复正常,再次住院行第2次手术,即骨折切开复位内固定手术,促进骨折的愈合。
三、治疗效果
患者入院5个小时后接受了手术治疗,第1次手术后,骨折在外固定架的辅助下恢复了正常力线,小腿的创口于术后16天左右愈合。出院后3个月,患者的血常规、血沉、C反应蛋白恢复正常,再次住院行第2次手术,术后切口顺利愈合,没有感染的表现。又3个月后,复查X线,创口愈合,骨折愈合良好。
四、注意事项
很高兴患者经过手术治疗骨折愈合良好,但在等待第2次手术的时间里,患者需要定期使用医用酒精浸润外固定针,定期更换纱布,做好外固定架的护理。虽然这段期间只能卧床,但是下肢的髋、膝、踝关节需要加强活动,避免出现肌肉萎缩,每个月需要复查1次红细胞、血沉、C反应蛋白。第2次手术结束后,患者应继续使用抗感染药物至创口愈合,出院后需要时刻关注创口情况,如果局部出现红、肿、痛,需要及时到医院复诊。手术后3、6、12个月复查X线,根据骨折愈合决定下地时间,在此期间患者应增加营养及钙摄入,可多食用豆制品和牛奶制品,同时增加日照。
五、个人感悟
开放性骨折一般软组织的损伤比骨折要重,因此首先应该考虑皮肤和软组织情况。开放性骨折首先常使用外固定架固定骨折端,这样既可以稳定骨折端,也可以进行伤口换药,利于创口愈合。不过外固定难以维持骨折断端的稳定,长远看不利于骨折愈合,因此待感染完全控制后,需要更换骨折切开复位内固定手术作为骨折的最终治疗,因此本例患者在治疗中需要两次手术。

