概述
湿疹脱皮可出现在急性湿疹、亚急性、慢性湿疹时期发生,还可伴有结痂和瘙痒,多因内外因素导致,可使用糖皮质激素等药物治疗。
症状
湿疹根据病程分为急性湿疹、亚急性湿疹、慢性湿疹,脱皮症状在上述时期均可发生,其表现有一定区别。
急性湿疹:局部可出现红斑,境界不清,形状不规整,红斑上有脱皮和结痂,可逐渐自行脱落。

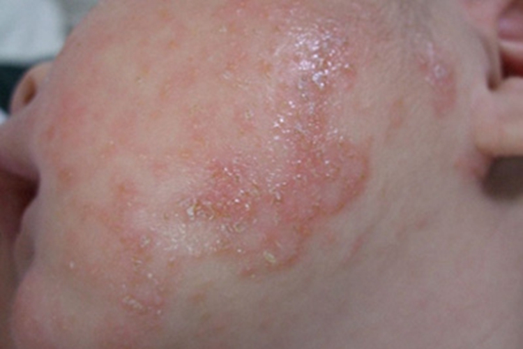
亚急性湿疹:局部可出现红肿,表面微微突出,有一些白色的脱皮表现,脱皮后的皮肤纹路明显,边缘有少量的黑色沉着。

慢性湿疹:局部皮肤粗糙,发红,瘙痒反复搔抓后可出现破溃,形成黄色结痂或有白色脱皮,结痂常自行脱落。

病因
湿疹的病因尚不明确,可能与慢性感染病灶、内分泌及代谢改变、血液循环障碍、神经精神因素、遗传因素等内部因素有关,也可能由食物、吸入物、生活环境、动物毛皮、各种化学物质等外部因素诱发或加重。
治疗
湿疹可遵医嘱进行治疗,且需根据其分期判断。
急性湿疹:无渗液或渗出不多者,可选用糖皮质激素霜剂,渗出多者可用硼酸溶液或依沙吖啶溶液等进行冷湿敷,待渗出减少后再选用糖皮质激素霜剂,与油剂交替使用。
亚急性湿疹:可选用糖皮质激素乳剂、糊剂,为防止和控制继发性感染,可加用抗生素。
慢性湿疹:可选用软膏、涂膜剂等,对于顽固性局限性皮损,可用糖皮质激素进行局部封包治疗。
参考文献
[1]张学军,郑捷.皮肤性病学.第9版[M].北京.人民卫生出版社.2018.109.
[2]方洪元,邢卫斌,张秉新,徐海环.实用皮肤性病手册.第1版[M].北京.人民卫生出版社.2016.258.
展开
