概述
胃癌在不同时期所表现的情况有差异性,如早期病变仅限于黏膜或黏膜下层,进展期时癌组织浸润深度超过黏膜下层,需尽早手术治疗。
症状
胃癌的不同时期,其相应的病变也有所区别。如早期胃癌时病变仅限于黏膜或黏膜下层,患者无明显症状,有时出现上腹部不适。等到了疾病的进展期组织浸润深度超过黏膜下层,患者可出现上腹疼痛加重,食欲下降、乏力、消瘦,体重减轻等情况。
内镜可直接观察病变,早期胃癌的内镜可表现为黏膜发红或发白、浅表凹陷或隆起,甚至存在浅表的溃疡,可见粗大迂曲的血管。进展期胃癌内镜下病变形态表现为黏膜糜烂、溃疡、肿物、管壁僵硬、管腔狭窄等。


X线征象主要有龛影、充盈缺损、胃壁僵硬胃腔狭窄、黏膜皱襞的改变等。

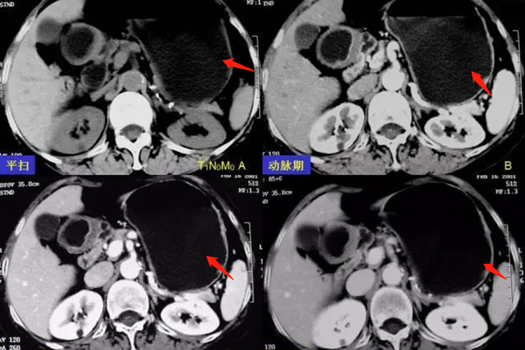
胃癌的CT表现主要是胃壁局限性增厚,表面不光滑,增强早期(动脉期)和增强晚期(静脉期或实质期)都有强化。

病因
胃癌的确切病因不十分明确,但长期食用熏烤、盐腌食品的人群胃癌发病率较高,与食品中亚硝酸盐、真菌毒素、多环芳烃化合物等致癌物含量高有关;幽门螺杆菌感染也是引发胃癌的主要因素之一。
治疗
胃癌的治疗策略是以外科手术为主要方式的综合治疗。部分早期胃癌可内镜下切除,进展期胃癌强调足够的胃切除和淋巴结清扫术。化学治疗适用于不可切除或术后复发的患者,也可用于胃癌根治术后的辅助治疗。
参考文献
[1]陈孝平,汪建平,赵继宗.外科学.第9版[M].北京.人民卫生出版社.2018.347-348.
[2]段志军.消化内科学高级医师进阶.第1版[M].北京.中国协和医科大学出版社.2016.260-263.
展开
