概述
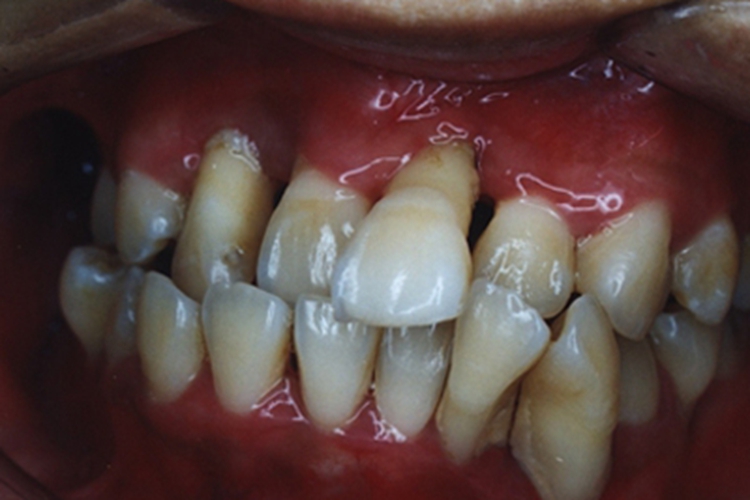
广泛型侵袭性牙周炎患者的牙龈可有弥漫性萎缩表现,牙槽骨吸收,牙根暴露。
本病发生的主要原因是感染病菌所致,可遵医嘱进行治疗。
症状
广泛型侵袭性牙周炎患者的牙龈可有弥漫性萎缩表现,牙槽骨吸收,牙根暴露,牙冠看起来变长,同时牙龈易出血,伴有局部急性炎症。

病因
广泛型侵袭性牙周炎牙根暴露发生的主要原因是感染病菌,主要致病菌是伴放线放线杆菌,在亚洲人群中侵袭性牙周炎表现为牙龈卟啉单胞菌比例升高。
治疗
针对广泛型侵袭性牙周炎牙根暴露的症状,应早期实施洁治、刮治和根面平整等基础治疗,彻底清除感染。也可遵医嘱使用甲硝唑、阿莫西林等药物进行治疗。
炎症控制后,对于病情不太严重而有牙移位的患者,可用正畸方法将移位牙复位排齐。进入维护期后,应进行牙周支持疗法,定期复查监控病情。具体治疗患者应遵医嘱进行。
治疗期间,患者应养成良好的口腔卫生习惯,饮食上应摄入清淡、易消化的食物,避免肥甘厚味、辛辣刺激。
参考文献
[1]张志愿.口腔科学.第9版[M].北京.人民卫生出版社.2018.68.
[2]孟焕新.牙周病学.第5版[M].北京.人民卫生出版社.2020.151.
展开
