概述
牙釉质发育不全患者的牙齿顶端可能出现变薄的情况,与全身疾病等因素有关,应预防龋病的发生。
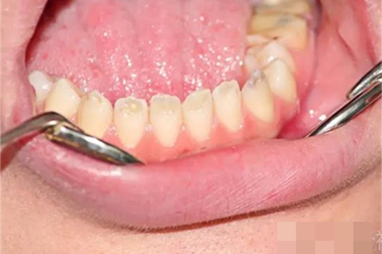
症状
牙釉质发育不全患者的牙齿会出现色泽和透明度改变,表面出现白垩色釉质,同时牙齿顶端变透明、变薄,但患者可能无敏感、疼痛等自觉症状。

病因
牙釉质发育不全与全身疾病、严重营养障碍、内分泌失调,以及严重的乳牙根尖周感染等因素有关,这些因素可导致牙釉质形成异常,从而导致牙釉质发育不全。
治疗
牙釉质发育不全者应预防龋病的发生。对于牙着色或缺陷,可使用复合树脂、烤瓷冠等方法进行修复治疗。需注意的是,以上治疗均需在医生指导下进行。
参考文献
[1]张志愿.口腔科学.第9版[M].北京.人民卫生出版社.2018.49-50.
[2]周学东.牙体牙髓病学.第5版[M].北京.人民卫生出版社.2020.46-47.
展开
