概述
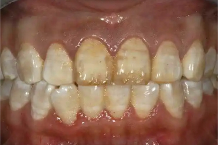
氟骨症累及牙齿,可见患者牙齿表面有黄色斑点、斑块,其上有条状凹痕或点状小洞。
该病是由于氟化物蓄积在牙齿所致,可进行牙齿洁治,并减少机体对氟的吸收。
症状
氟骨症累及牙齿,可见患者牙齿表面有黄色斑点、斑块,同时牙齿表面光泽度差,粗糙似粉笔样,其上有条状凹痕或点状小洞。

病因
氟骨症牙齿长斑和凹坑的发生,主要是由于氟化物蓄积在牙齿所致。氟的主要来源为饮水和环境中的氟化物,尤其是被污染环境中的水、空气以及高氟食物等。当氟的每日摄入量高于4-5mg时,就会造成氟在牙齿上蓄积,从而导致牙齿上出现斑点以及凹坑。
治疗
针对氟骨症牙齿长斑和凹坑的症状,患者可遵医嘱进行牙齿洁治,通过口腔科专用的漂白剂,对牙齿进行渐进性的漂白,使牙齿达到美观的效果,常用的专用漂白剂有过氧化氢、过氧化脲等。
此外,还应减少机体对氟的吸收,以免加重症状。同时患者可多喝水,增强机体新陈代谢,促进氟化物的排泄。具体治疗需谨遵医嘱。
参考文献
[1]姜虹.骨外科学;高级医师进阶.第1版[M].北京.中国协和医科大学出版社.2016.283.
[2]尹志伟,侯键主编.骨伤科影像学[M].北京:中国中医药出版社.2016.203.
展开
