概述
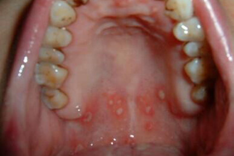
二期口腔梅毒可表现为患者口腔黏膜出现红斑,呈圆形或椭圆形,表面有假膜。
本病可能是一期口腔梅毒未经治疗或治疗不彻底导致病症加重,需遵医嘱治疗。
症状
二期口腔梅毒主要发生于口腔,临床可表现为局部黏膜表面出现红斑,散在分布,边界较清,呈圆形或不规则形,直径约1cm,部分表面覆盖灰白色假膜,周围有红晕,无明显疼痛。


病因
二期口腔梅毒可能是一期口腔梅毒未经治疗或治疗不彻底导致病症加重,也可能是其他部位的梅毒螺旋体大量繁殖,由淋巴系统进入血液循环形成菌血症,并播散至全身,引起口腔黏膜损害,进而导致二期口腔梅毒的形成。
治疗
二期口腔梅毒属于早期梅毒表现,可遵医嘱进行普鲁卡因青霉素肌注,或进行苄星青霉素分两侧臀部肌注。而对于青霉素过敏者,可选用头孢曲松钠静脉滴注,或在医生的指导下服用多西环素、红霉素、四环素等药物。
参考文献
[1]张震康,俞光岩,徐韬.实用口腔科学.第4版[M].北京.人民卫生出版社.2016.162-163.
[2]孟庆飞等主编.口腔科疾病临床诊治要点;上[M].长春.吉林科学技术出版社.2016.223.
[3]张学军,郑捷.皮肤性病学.第9版[M].北京.人民卫生出版社.2018.110.
展开
