概述
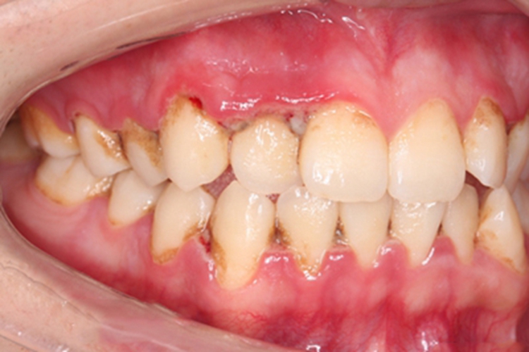
患者出现坏死性溃疡性龈口炎时,牙龈表面可见有糜烂面,边缘不齐,表面可伴有假膜,本病可能是梭状杆菌等引起,需遵医嘱治疗。
症状
坏死性溃疡性龈口炎可发生于牙龈组织,也就是龈乳头上,局部可见糜烂,边缘不整齐,互相融合形成大片,向周围及深层侵犯,表面可有灰白色假膜,周围牙龈红肿。


病因
坏死性溃疡性龈口炎是由梭状杆菌和螺旋体共同感染所致,在局部或全身抵抗力下降时,可致梭状杆菌和螺旋体大量繁殖而发病。在口腔卫生不良、营养状况不佳时,病情进展迅速。另外,还可合并链球菌、丝状菌等细菌的联合感染。
治疗
坏死性溃疡性龈口炎需遵医嘱治疗,主要包括全身治疗和局部治疗。
全身治疗:可给予青霉素、氨苄西林、乙酰螺旋霉素、红霉素等广谱抗生素,也可使用抗厌氧菌较强的药物,如甲硝唑。同时进行支持治疗,给予高维生素、高蛋白质饮食,加强营养,必要时给予静脉输液。
局部治疗:可针对病因使用氧化剂反复冲洗,如过氧化氢溶液、高锰酸钾溶液等。
参考文献
[1]孟庆飞.口腔科疾病临床诊治要点.上[M].长春.吉林科学技术出版社.2016.220-221.
[2]陈晖等.实用口腔科疾病临床诊治学.上[M].长春.吉林科学技术出版社.2016.269-270.
[3]刘龙坤.实用口腔疾病诊疗技术[M].天津.天津科学技术出版社.2018.151-152.
展开
