概述
牙釉质发育不全轻者仅有色泽和透明度改变,重者可出现牙面凹陷,多与全身疾病、严重营养障碍等因素有关,应预防龋病的发生。
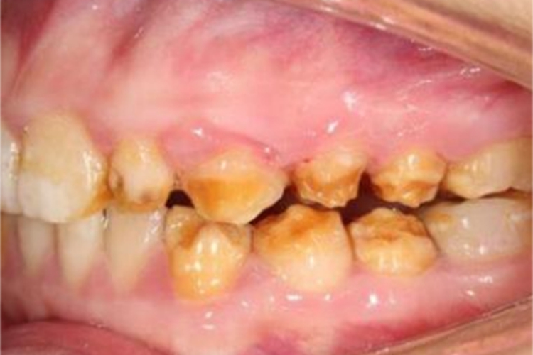
症状
轻度牙釉质发育不全,通常牙冠形态完整,仅有色泽和透明度改变,可形成白垩色釉质,一般无自觉症状。重度牙釉质发育不全,牙面可出现带状或蜂窝状棕色凹陷。



病因
全身疾病、严重营养障碍、内分泌失调,以及严重的乳牙根尖周感染等因素,可导致牙釉质形成异常,从而导致牙釉质发育不全。
治疗
牙釉质发育不全者应预防龋病的发生。对于牙着色或缺陷,可使用复合树脂、烤瓷冠等方法进行修复治疗。需注意的是,以上治疗均需在医生指导下进行。
参考文献
[1]张志愿.口腔科学.第9版[M].北京.人民卫生出版社.2018.49-50.
[2]周学东.牙体牙髓病学.第5版[M].北京.人民卫生出版社.2020.46-47.
展开
