概述
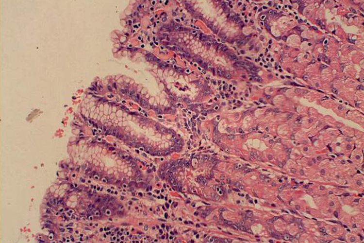
胃的单层柱状上皮表面可见细胞呈六角形或多角形,垂直切面上细胞为柱状,核为椭圆形,长轴与细胞长轴一致,具有吸收、分泌功能。
外观
胃的单层柱状上皮由一层棱柱状细胞组成,从表面观察,细胞呈六角形或多角形;在垂直切面上,细胞为柱状,核为椭圆形,其长轴与细胞长轴一致,多靠近细胞基底部。电镜下单层柱状上皮的游离面有特化的微绒毛。

功能
胃部的单层柱状上皮具有吸收、分泌功能,还可分布在肠道、胆囊、输卵管、子宫等器官。通常是进行病理学检查,可明确是否出现病变。
参考文献
[1]李继承,曾园山.组织学与胚胎学.第9版[M].北京.人民卫生出版社.2018.9-10.
[2]刘黎青主编;徐维蓉,周忠光,赵爱明,葛钢锋副主编.组织学与胚胎学[M].北京.中国中医药出版社.2015.13.
展开
