脑血栓的患者CT检查可出现低密度病灶,边界不清,随后可能会出现病灶等密度影,或者是病灶区出现增强现象。
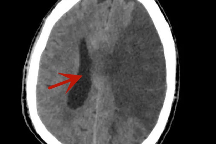
脑血栓的患者在发病24小时后会在病灶区出现低密度影,边界不清,梗死面积大者可伴有明显的占位效应,发病后2-15天可见均匀片状或楔形的明显低密度病灶;发病第2-3周时,病灶可为等密度影,CT上难以分辨;发病5周后,大梗死病灶呈长久性的低密度影,边界清楚,无占位及增强现象。

脑血栓主要病因是动脉粥样硬化,患者多数静态状态下发病,尤其是在睡眠中,会出现突然的肢体麻木、偏瘫、偏身感觉障碍、失语等,一般不伴有意识丧失、头痛、呕吐等全脑症状。
[1]杜秀华主编.实用内科疾病诊疗[M].北京:科学技术文献出版社.2019:120-123.
[2]王郑矜主编;张金亮,吴惠珍,杨峥等副主编.临床医学概要[M].北京:中国医药科技出版社.2019:206.