概述
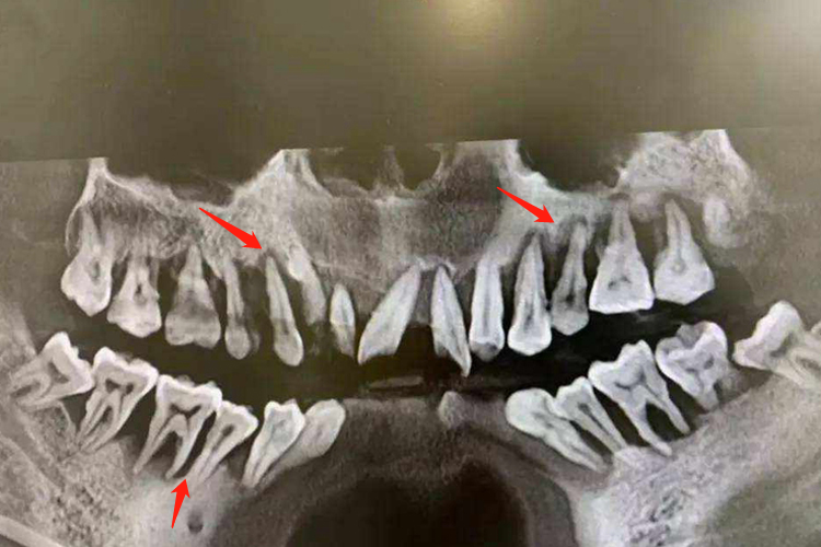
牙槽骨吸收轻重度可通过X线片观察,可见牙齿根尖处高度存在程度不一的下降。
牙槽骨吸收是因炎症或创伤等原因导致牙槽骨成分丧失,牙槽骨高度和密度降低的体征。
症状
牙槽骨吸收程度可以通过X线片来观察,骨吸收轻度时表现为牙槽嵴顶的硬骨板消失,或嵴顶模糊呈血蚀状。嵴顶的少量吸收使前牙的牙槽间隔由尖变平或凹陷,在后牙则使嵴顶由宽平变凹陷,以后牙槽骨高度降低。牙槽骨重度吸收时,X线片可见根尖区有圆形或椭圆形的骨质疏松投影区,牙槽骨高度下降,严重时可达下降2/3。


病因
当牙龈中的慢性炎症向深部牙周组织扩展达到牙槽骨附近时,骨表面和骨髓腔内分化出破骨细胞和单核-吞噬细胞,发生陷窝状骨吸收,或使骨小梁吸收变细,骨髓腔增大。牙体创伤也可引起牙槽骨吸收与新生平衡紊乱,出现牙槽骨吸收表现。
治疗
牙槽骨吸收轻度需尽早控制牙周炎症,以停止牙槽骨吸收的继续进展。牙槽骨吸收重度时需在控制炎症的基础上再考虑对已经形成的骨缺损进行修复性治疗。因为牙槽骨吸收均在深部,所以对其治疗以手术为主,包括骨成形、骨移植以及骨组织再生术等。
参考文献
[1]樊明文主编.中华医学百科全书 2 临床医学 口腔医学[M].北京.中国协和医科大学出版社.2018.71-73.
[2]孟焕新.牙周病学.第5版[M].北京.人民卫生出版社.2020.107-108.
展开
