概述
毛发红糠疹性红皮病可见于腹部,表现为红斑,伴有鳞屑,可遵医嘱口服维生素A,外用凡士林软膏治疗。
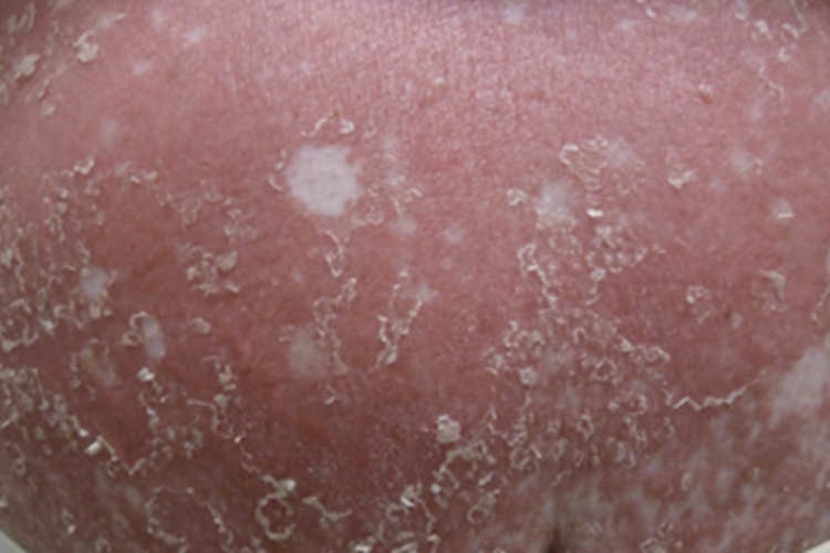
症状
毛发红糠疹性红皮病可见于腹部,皮损表现为红斑,表面有干燥、糠状鳞屑脱落,皮损相互融合成形态不整的大斑片,其间有小片正常皮肤。

病因
毛发红糠疹性红皮病病因尚不明确,可能与常染色体显性遗传有关,在儿童患者中常因受治疗的激惹而发生全身性红斑鳞屑性损害成为红皮病。
治疗
毛发红糠疹性红皮病采取综合治疗,可遵医嘱口服维生素A,外用凡士林软膏。
参考文献
[1]虞瑞尧,杨杨编著.儿童皮肤病彩色图谱[M].郑州.河南科学技术出版社.2019.245.
[2]虞瑞尧,漆军编著.面部皮肤病诊断彩色图谱[M].北京.金盾出版社.2014.136.
展开
