概述
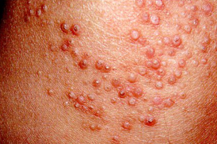
穿透型环状肉芽肿可表现为丘疹,呈半球形,群集分布,粟粒至黄豆大小。
本病的病因可能与外伤、虫咬等有关,可遵医嘱用药物、冷冻、光动力等方法治疗。
症状
穿透型环状肉芽肿可表现为群集性丘疹,呈半球形,粟粒至黄豆大小,丘疹中央有一小的角栓,去除角栓后局部遗留脐凹。患者多无自觉症状,偶有轻微瘙痒。

病因
穿透型环状肉芽肿的病因不清,可能与外伤、虫咬、感染、紫外线、药物、内分泌和遗传因素有关。其发病机制可能与未知抗原诱发的迟发性过敏反应相关。
治疗
穿透型环状肉芽肿可遵医嘱用糖皮质激素、咪喹莫特软膏、他克莫司乳膏、吡美莫司乳膏等外用药物治疗,也可皮损内注射糖皮质激素或干扰素,或使用冷冻、二氧化碳激光、光动力等方法进行治疗。
系统治疗主要用于严重患者,包括异维A酸软胶囊、硫酸羟氯喹片、氨苯砜片,其他药物还有环孢素软胶囊、阿维A胶囊等。相关操作和药物治疗注意在医生指导下进行。
参考文献
[1]吴志华,史建强,李定等主编;张锡宝,王建琴,郑敏等副主编.皮肤性病诊断与鉴别诊断[M].北京.科学技术文献出版社.2018.698.
[2]王聪敏,余明莲,李海涛著.老年护理手册丛书;皮肤科常见病护理手册[M].北京.中国医药科技出版社.2018.147.
[3]王宝玺主编.中华医学百科全书;临床医学皮肤病学[M].北京.中国协和医科大学出版社.2017.287.
展开
