概述
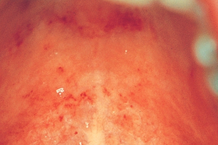
风疹可表现为患者口腔出现红点,呈玫瑰色,可逐渐增多、融合,伴有咽痛,疾病是由风疹病毒引起,需遵医嘱对症治疗。
症状
风疹特征表现为轻度上呼吸道炎症,黏膜损害可表现为患者口腔出现出血性红疹,呈玫瑰色红点,患者颊黏膜无粗糙、充血及黏膜斑等异常,红疹逐渐增多,相邻的细小红点融合成斑片,患者临床伴有咽痛、咳嗽等上呼吸道感染症状。

病因
风疹由风疹病毒引起,主要传染源为风疹患者,从出疹前1周到出疹后1周均具有传染性,传播途径为飞沫传播。
治疗
风疹主要是对症治疗,高热、头痛者可用解热镇痛剂,咽痛者可用复方硼酸溶液漱口,咳嗽可用祛痰药和止咳药。病情重者可用利巴韦林等抗病毒治疗。
需注意,以上治疗均需遵医嘱进行。
参考文献
[1]闫军主编.实用儿科常见疾病诊疗实践[M].长春:吉林科学技术出版社.2019.184-185.
[2]窄秀凤.小儿皮肤病防治.第2版[M].郑州:河南科学技术出版社.2018.34.
[3]李斌主编.儿科疾病临床诊疗实践[M].开封:河南大学出版社.2020.214-215.
展开
