概述
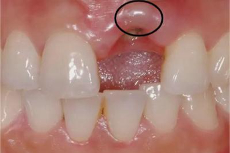
急性坏死性龈口炎可见牙龈处出现小疙瘩,周围黏膜水肿明显,表面紧实光滑。
该病是由梭杆菌和螺旋体感染引起,应遵医嘱使用过氧化氢溶液等药物治疗。
症状
急性坏死性龈口炎可见牙龈处出现小疙瘩,早期牙龈边缘及龈乳头红肿,周围黏膜水肿明显,表面紧实光滑,患处牙龈易出血,疼痛明显。如果病情得不到控制可致牙槽骨暴露、骨坏死、牙松动脱落。

病因
急性坏死性龈口炎是由梭杆菌和螺旋体感染引起的,发生在牙龈边缘的急性坏死性口腔疾病。正常情况下,梭杆菌和螺旋体为口内共生菌,一般不感染致病,但在过度疲劳、营养不良引起菌群失调时可引发口腔黏膜病损。
治疗
急性坏死性龈口炎需尽早给予抗感染治疗,如早期可由医生刮去坏死组织及大块牙石,遵医嘱使用过氧化氢溶液冲洗,再使用甲硝唑片、维生素C片等药物,还可选择银花、甘草等中药煎水漱口。
参考文献
[1]樊明文主编.中华医学百科全书 2 临床医学 口腔医学[M].北京:中国协和医科大学出版社,2018.225-226.
[2]张佐主编.口腔临床实践指导[M].阳光出版社,2017.226-227.
展开
