概述
结节性硬化症可累及膝盖,表现为大小不等的白斑,形状不规则,表面光滑,与常染色体显性遗传有关,以对症和支持治疗为主。
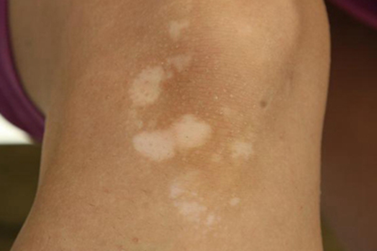
症状
结节性硬化症患者膝盖可有不规则白斑,其大小不等,形状不规则,表面光滑,呈节段式分布,周围有密集的颗粒状小丘疹,小丘疹颜色正常,无疼痛。

病因
结节性硬化症的发病与常染色体显性遗传和两个致病基因有关。本病的家族内和家族间差异性极大,表明部分差异性可能由遗传决定,目前已经发现本病存在TSC1和TSC2两个致病基因。
治疗
结节性硬化症尚无特异性治疗方法,以对症和支持治疗为主。对症治疗包括控制癫痫发作、降颅压等,婴儿痉挛可用促肾上腺皮质激素;脑脊液循环受阻可手术治疗;面部皮肤血管纤维瘤,必要时可用刮除法、磨削法或激光治疗。
当药物无法控制癫痫发作而有固定局灶性脑电图异常时,应考虑神经外科手术治疗。需注意,上述药物及治疗,均应遵医嘱进行。
参考文献
[1]张学军.皮肤性病学高级教程.第1版[M].北京.人民军医出版社.2010.340-341.
[2]常建民.色素性皮肤病[M].北京.中国科学技术出版社.2020.27-29.
[3]崔丽英.中华医学百科全书.神经病学[M].北京.中国协和医科大学出版社.2019.279.
[4]吴志华.皮肤性病诊断与鉴别诊断[M].北京.科学技术文献出版社.2018.467-468.
[5]虞瑞尧.皮肤病鉴别诊断彩色图谱.第1版[M].北京.人民军医出版社.2012.119.
展开
