概述
牙龈炎发生后,可见患者口腔下牙龈有一处红肿。该情况主要是口腔卫生差,牙菌斑沉积导致,治疗均需遵医嘱进行。
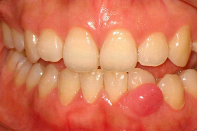
症状
牙龈炎发生后,可见患者口腔下牙龈有一处红肿,表现为明显鼓包凸起,鼓包颜色为亮红色,表面光滑,患者有明显的口腔异物感。一般无痛,可自行消退,也可维持轻度炎症数年。有时因肿胀部位挤压,内侧牙齿可出现移位的情况。

病因
牙龈炎下牙龈一处红肿,主要是口腔卫生差,牙菌斑沉积导致。牙石、食物嵌塞、不良修复体、牙错位拥挤、口呼吸等因素可促进菌斑的堆积,引发或加重此种情况。
治疗
对于牙龈炎下牙龈一处红肿情况,患者需要通过清除病因恢复健康,主要治疗方法为洁治术。如果损害较为严重,可以应用药物,如复方氯己定含漱液、过氧化氢溶液等。对炎症消退后牙龈形态不能恢复正常者,可以进行手术治疗,从而恢复牙龈的生理外形。注意上述治疗均需遵医嘱进行。
参考文献
[1]Robert S.Porter,MD.默克诊疗手册 上.第19版[M].北京.人民卫生出版社.2014.710.
[2]刘秦鹏主编.现代临床外科疾病诊断与治疗[M].天津.天津科学技术出版社.2020.177.
展开
