概述
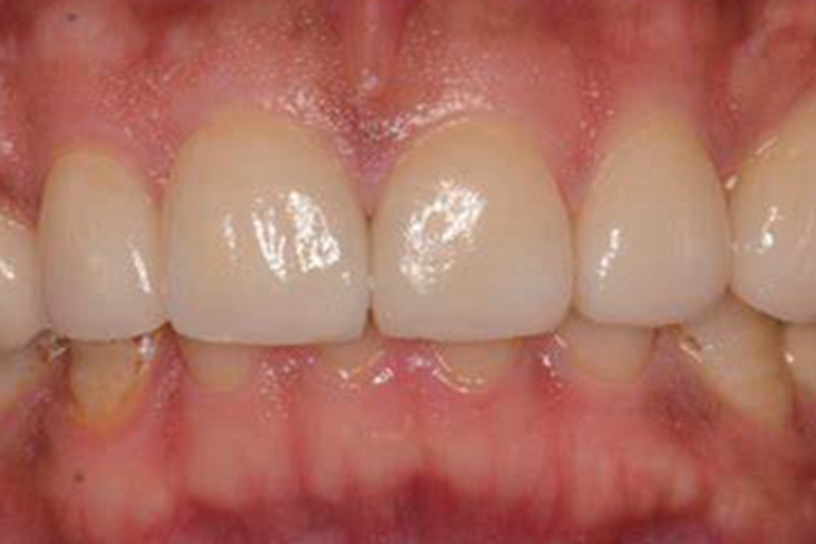
牙龈退缩可发生于口腔多颗牙齿,表现为牙龈向后退缩,牙根处轻微暴露。该情况可能由多种因素导致,治疗均需遵医嘱进行。
症状
牙龈退缩可发生于口腔多颗牙齿,表现为牙龈向后退缩,牙根处轻微暴露,牙结石易在此处发生堆积。随病情持续进展,可见牙齿间隙增大,易造成食物嵌塞和菌斑堆积,前牙区还可能形成黑三角。

病因
牙龈退缩牙根轻微暴露,可能由多种因素导致。如附着龈过窄、牙龈结缔组织太薄、唇颊系带的高位附着和肌肉牵拉等。与此同时,刷牙方法不当、使用过硬的牙刷、牙膏中磨擦剂的颗粒太粗、拉锯式的横刷法等行为,也容易诱发此种情况。
治疗
对于牙龈退缩牙根轻微暴露情况,治疗重点是预防,需要查明原因并进行规避,以防止牙龈退缩加重。如改变刷牙习惯,去除不良修复体、清除菌斑牙石等。如果损害持续进展,可能需要进行手术治疗,如膜龈手术、引导性骨再生术治疗等。注意上述治疗均需遵医嘱进行。
参考文献
[1]孟焕新.牙周病学.第5版[M].北京.人民卫生出版社.2020.175-176.
[2]张震康,俞光岩,徐韬.实用口腔科学.第4版[M].北京.人民卫生出版社.2016.124.
展开
