概述
唾液腺结石即涎石症,可能无明显症状,也可能会出现肿胀、疼痛、红肿等症状。
唾液腺结石多认为和腺体本身的结构相关,涎液滞留、异物进入等多种因素均可致病。
症状
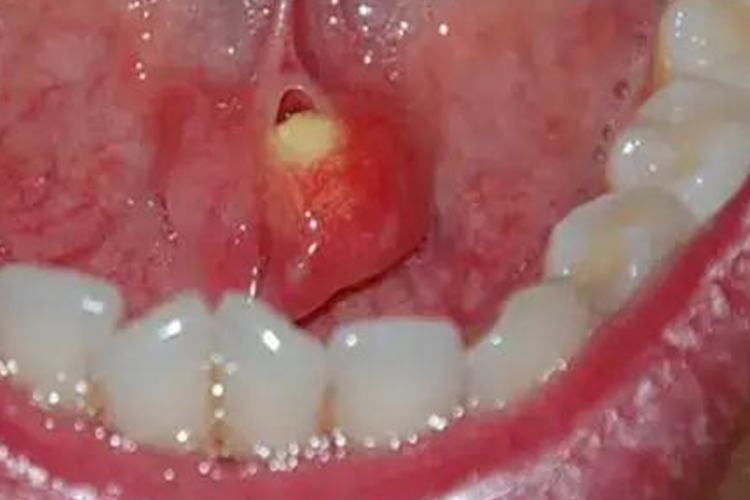
唾液腺结石较小时可能没有任何的临床症状。在导管内的结石发生阻塞时,可出现进食时腺体肿大,患者自觉肿胀、疼痛。停止进食后不久腺体自行复原,疼痛亦随之消失。部分患者腺体肿胀可持数小时、数天,甚至不能完全消退。患者的导管口黏膜红肿,挤压腺体可见少量脓性分泌物自导管口溢出。

典型的唾液腺结石为长圆形,呈枣核状,小的如米粒大小。

病因
唾液腺结石是在唾液腺体内和导管内形成的结石,以颌下腺最常见,其发生与涎液滞留、异物进入及细菌有密切的关系。
治疗
唾液腺结石如并发急性炎症时,应先消炎治疗,后再进行结石的摘除,在结石摘除前服用酸性饮料,可促进结石外排,从而利于摘除。下颌下腺导管结石可在口内切开取石;腮腺导管结石只有在接近导管口,在口内可扪及者,才能在口内取石;下颌下腺内及导管后段结石继发慢性下颌下腺炎,腺体已丧失功能,可施行下颌下腺切除术。
参考文献
[1]北京医师协会组织编写.口腔科诊疗常规[M].北京.中国医药科技出版社.2020.189.
[2]孔春燕等主编.口腔常见病临床防治 下[M].长春.吉林科学技术出版社.2016.350-351.
展开
