概述
智齿阻生多指阻生智齿。下颌出现此现象时,可表现为牙齿最高位高于或低于颌平面,建议积极进行相关检查,保持口腔卫生。
症状
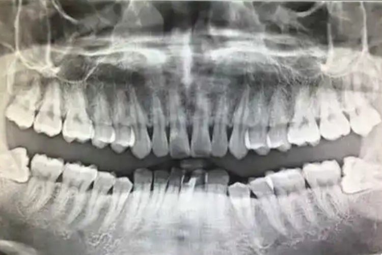
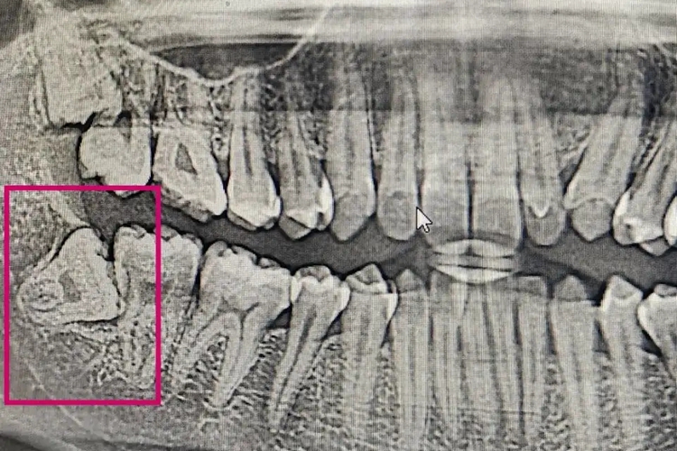
一般情况下,根据阻生智齿,即下颌第三磨牙在颌骨内的深度,可分为高位,中位及低位三类。
高位:对于高位阻生智齿,牙的最高部位平行或高于(牙合)平面。

中位:对于中位阻生智齿,牙的最高部位低于(牙合)平面,但高于第二磨牙的牙颈部。

低位:对于低位阻生智齿,牙的最高部位低于第二磨牙的牙颈部。对于骨埋伏阻生,即牙全部被包埋于骨内现象,也属于低位阻生智齿。


病因
下颌出现阻生智齿,可能是由于食物日趋精细,咀嚼功能减退,致使咀嚼器官退化,牙齿与颌骨之间的退化是不平衡,颌骨的退化更为显著,造成牙齿萌出间隙不足引起。也可能是下颌角变小,使下颌第三磨牙的萌出过程更为困难引起。
治疗
一般情况下,下颌阻生智齿萌出至正常位置,形成良好咬合关系时,应尽量保留牙齿。出现红肿、疼痛等症状时,需积极进行拔出治疗。如高位阻生,多无冠部骨阻力,可去除邻牙阻力后拔除。而低位阻生,冠部骨阻力较大,需去除较多骨质,直至显露牙冠最大直径后方可拔除。
参考文献
[1]蔡天刚.现代临床口腔科学 下[M].长春.吉林科学技术出版社.2017.09.300-303.
[2]王莉,刘东,张永辉,秦宁艳,刘丽梅,沈全明,行勇军,王志强.临床口腔医学新进展 上[M].长春.吉林科学技术出版社.2017.09.176.
展开
