概述
颊癌可表现为患者颊黏膜表面出现白斑,形状不规则,边界较清晰,与长期不良生活方式有关,需遵医嘱手术治疗。
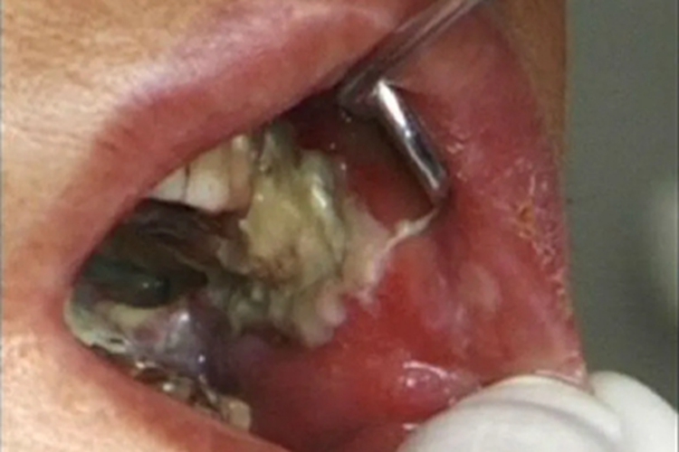
症状
颊癌可发生在患者一侧颊黏膜表面,临床可表现为局部表面出现白斑,呈糜烂样改变,形状不规则,与周围皮肤的边界较为清晰,周围有炎性红晕,生长较快,容易向四周及深层组织浸润,部分患者可逐渐出现张口受限等情况。

病因
颊癌主要原因是恶性细胞在颊部组织内不受控制地增殖,进而形成肿块。长期的不良生活方式,如咀嚼槟榔、吸烟等,或者残根、残冠或不良义齿的刺激,使细胞失去正常的生长和分化控制机制,进而形成肿瘤,逐渐表面破溃、糜烂,形成白斑样改变。
治疗
颊癌患者需遵医嘱及时进行手术治疗,术中要将病变部位完整切除,以免癌细胞持续增长。术后,患者可遵医嘱使用注射用顺铂、注射用卡铂、紫杉醇注射液等药物进行化学治疗,以控制病情发展。患者还可在医生的建议下,辅以放射治疗,以清除局部残存癌细胞,避免肿瘤复发。
参考文献
[1]王佃亮,陈火明主编.肿瘤科医师处方[M].北京.中国协和医科大学出版社.2018.64.
[2]王玮主编.现代实用口腔医学[M].昆明.云南科学技术出版社.2020.282.
展开
