概述
牙龈炎可导致口腔内下牙龈萎缩,伴有红肿,是由炎症反应导致,建议就医进行治疗。
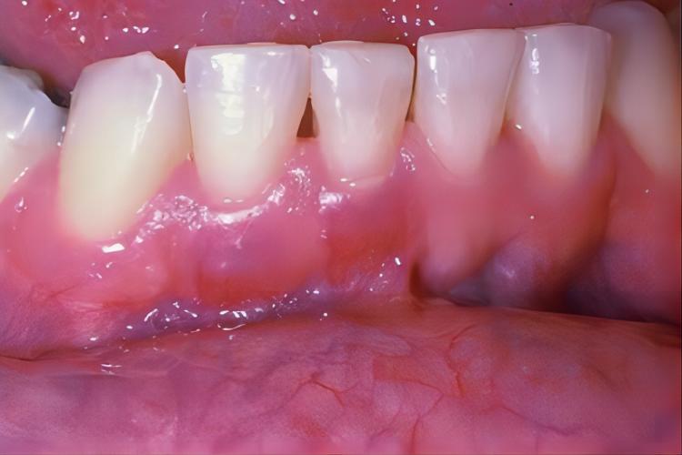
症状
牙龈炎可导致口腔内下牙龈萎缩,伴有红肿,牙龈颜色为鲜红色,底部发黑。牙齿已经轻微露出牙根,刷牙或咬硬物可出现渗血或流血症状。

病因
牙龈炎可导致口腔内下牙龈萎缩,伴有红肿,牙龈颜色为鲜红色,底部发黑。牙齿已经轻微露出牙根,刷牙或咬硬物可出现渗血或流血症状。
治疗
治疗牙龈炎导致的下牙龈萎缩,可采取多种措施。使用复方氯己定含漱液可以缓解牙龈炎症状,具有杀菌作用,可以减少牙龈炎引起的细菌感染,同时还能缓解牙龈肿痛和出血。进行定期洗牙也是重要的治疗方法。洗牙可以清除牙菌斑和牙结石,减少刺激牙龈的因素,促进牙龈健康。进行治疗时,应遵循专业医生的建议。
参考文献
[1]Robert;S.Porter,MD.默克诊疗手册;上.第19版[M].北京.人民卫生出版社.2014.710.
[1]刘秦鹏主编.现代临床外科疾病诊断与治疗[M].天津.天津科学技术出版社.2020.177.
展开
