概述
瘢痕疙瘩性芽生菌病多由外伤后接触了洛博芽生菌所致,可累及胸部出现隆起的结节,其大小不一,患者应及时就医。
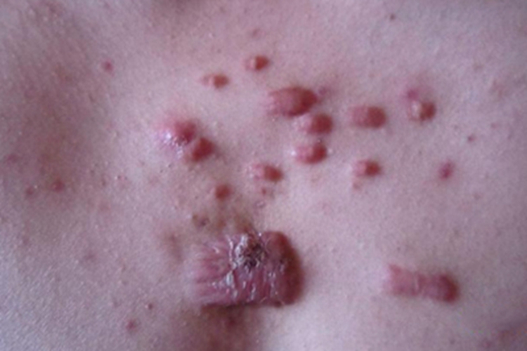
症状
瘢痕疙瘩性芽生菌病可累及胸部,皮损表现为隆起于皮表的结节、疙瘩,其颜色发红,大小不一,触摸感觉质地偏硬,伴有轻微发痒无痛感。

病因
瘢痕疙瘩性芽生菌病是因感染洛博芽生菌所引起,此菌存于湿热的森林地区生存,如南美洲和中美洲的热带地区,致病菌感染主要由外伤植入孢子所致。也可自体接种引起其他皮肤部位的播散。
治疗
瘢痕疙瘩性芽生菌病主要是遵医嘱采用手术治疗和抗真菌药物配合治疗,抗真菌的药物氯法齐明软胶囊需长期服用,手术治疗一般选择大范围的外科扩大切除术。在治疗期间,同时要避免感染到其他部位的皮肤,抗真菌药物治疗期间需要定期检测患者的肝肾功能,以防止药物带来的不良反应。同时要适当提高机体的免疫力,加强体育锻炼,食用富含营养、容易消化的食物。
参考文献
[1]张学军,郑捷.皮肤性病学.第9版[M].北京.人民卫生出版社.2018.93-94.
[2]李伯埙,王俊民,肖生祥主编.皮肤病临床与组织病理学[M].西安.世界图书西安出版公司.2018.110.
展开
