概述
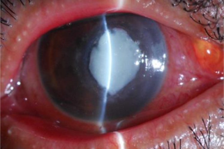
真菌性角膜溃疡可表现为眼球上有絮状白斑,结膜红肿,布满红血丝。
真菌性角膜溃疡是由真菌性角膜炎发展而来,需遵医嘱用药治疗。
症状
真菌性角膜溃疡可导致眼球出现损害,病灶呈絮状白斑样,可浸润整个眼球,欠光泽,表面隆起。结膜红肿明显,布满红血丝,伴视力障碍。

病因
真菌性角膜溃疡是由真菌性角膜炎发展而来,多是外伤、工作和生活环境潮湿,或长期使用激素、抗生素等,造成眼表免疫环境改变或菌群失调,从而诱发了角膜真菌感染。
治疗
真菌性角膜溃疡患者需遵医嘱局部应用抗真菌药物,如那他霉素滴眼液、妥布霉素滴眼液等,同时还需遵医嘱口服伊曲康唑、酮康唑、氟康唑等抗真菌药物。
参考文献
[1]杨培增,范先群.眼科学.第9版[M].北京.人民卫生出版社.2018.112-113.
[2]张仁俊.实用眼科药物学[M].北京.人民军医出版社.2015.651.
展开
