概述
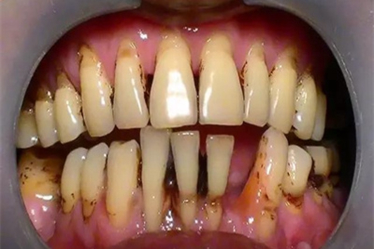
牙龈炎患者在临床上可表现为牙龈出现萎缩,牙龈变为鲜红色且表面光亮。
该症状可由口腔卫生差导致,患者需要通过洁治术彻底清除菌斑和牙石等刺激因素。
症状
牙龈炎患者在临床上可表现为牙龈出现萎缩,牙龈变为鲜红色且表面光亮,牙齿下端根部逐渐显露出,后期患者的牙齿可能出现松动,甚至脱落。

病因
该症状可由口腔卫生差导致。不良的口腔卫生使牙菌斑沉积于牙齿与牙龈之间,造成龈沟加深,进而导致牙龈出现萎缩。同时,还可诱发炎症,使牙龈红肿。
治疗
患者需要及时就医通过洁治术彻底清除菌斑和牙石等刺激因素。炎症较重者可配合局部药物治疗,包括过氧化氢溶液、醋酸氯己定溶液等,发挥抗菌、抗炎、消肿的作用。若以上方法均不得缓解,患者可进行牙周手术治疗,通过牙龈切除来恢复患者正常牙龈状态。
除此之外,在日常生活中,患者应使用软毛牙刷,改善刷牙姿势,以彻底清除细菌和食物残留,口腔要多进行清洁,饭后用淡盐水或漱口液漱口。
参考文献
[1]Robert;S.Porter,MD.默克诊疗手册;上.第19版[M].北京.人民卫生出版社.2014.710.
[2]刘秦鹏主编.现代临床外科疾病诊断与治疗[M].天津.天津科学技术出版社.2020.177.
展开
