概述
氟斑牙主要表现为牙齿上有白垩色或者褐色的斑块,常呈对称分布。
脱矿牙是指牙齿牙釉质表面的钙磷脱落,牙齿颜色发生改变,可出现白垩色或微黄色斑点。
症状
氟斑牙和脱矿牙均为比较常见的牙齿异常情况,具体区别如下:
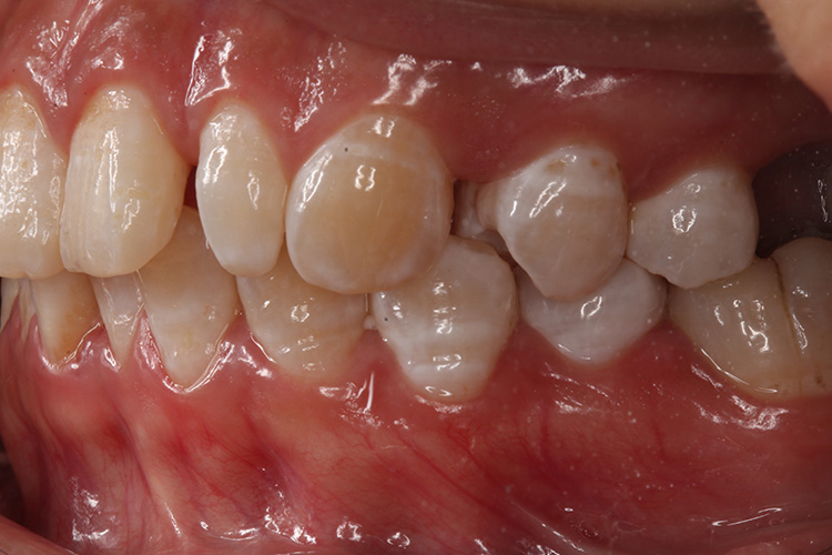
氟斑牙
氟斑牙是慢性氟中毒早期表现,恒牙多发,表现为对称性斑块或牙体缺损,同一时期萌出的牙表面可出现白垩色或褐色斑块甚至缺损。严重者可伴有氟中毒的表现,如氟骨症。

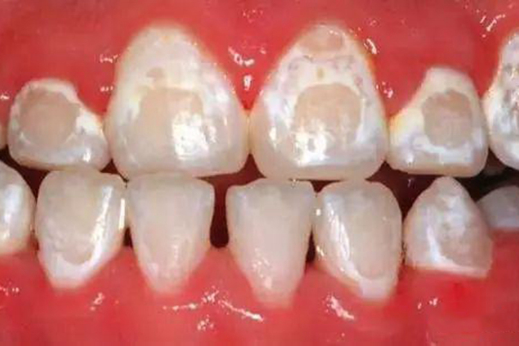
脱矿牙
脱矿牙表现为牙体硬组织发生脱矿,微晶结构改变,牙透明度下降,牙釉质出现白垩色改变,继之病变部位有色素沉着,局部可呈黄褐色或棕褐色。随着无机成分脱矿,有机成分不断被破坏,逐渐出现牙体缺损,形成龋洞。

病因
氟斑牙和脱矿牙的病因不同,具体如下:
氟斑牙
高氟地区的婴幼儿及儿童(7岁之前),因饮水等途径从环境中摄入过量的氟,导致牙釉质发育不良或者矿化不全,牙釉质多孔性增加,表层牙釉质塌陷,形成牙体缺损。
脱矿牙
由于口腔微生物在牙面黏附,形成牙菌斑生物膜,细菌在生物膜微生态环境中代谢碳水化合物产酸,造成牙脱矿甚至导致龋齿。
治疗
牙齿出现白斑、褐斑的患者应该及时就医,明确病因,进行相应的处理。
氟斑牙
氟斑牙可通过复合树脂修复、贴面修复及烤瓷冠修复等方法治疗。
脱矿牙
注重个人卫生,坚持每日早晚刷牙、饭后漱口,可使用牙线、冲牙器等清除留在牙邻面、根面的食物残渣及牙菌斑,可以进行牙齿的再矿化治疗。
参考文献
[1]张志愿.口腔科学.第9版[M].北京.人民卫生出版社.2018.45-46.
[2]周学东.牙体牙髓病学.第5版[M].北京.人民卫生出版社.2020.6-41.
展开
