概述
宫颈活检伤口表现为一块凹陷,可伴有渗血等症状,适用于宫颈细胞学检查出现异常,或宫颈有可疑赘生物的患者,术后注意护理。
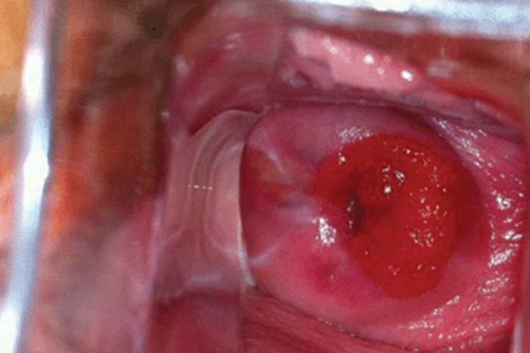
伤口表现
宫颈活检需要使用宫颈钳或组织钳牵拉子宫颈,并使用尖刀切割下0.25-0.5立方厘米的小组织块,伤口位置由于缺损部分组织,会形成一个凹陷,大概有黄豆大小,可伴有出血、渗血等症状。

注意事项
宫颈活检适用于宫颈刮片细胞学检查明显异常,或子宫颈上有可疑赘生物,以及宫颈癌早期临床为明确病变累及程度及决定手术范围者。宫颈活检后患者应保持外阴清洁、干燥,勤换洗内衣裤,禁止盆浴、游泳等行为1个月,出血多时应立即就医复查。
参考文献
[1]张静主编.实用妇科常见并发症护理学[M].汕头.汕头大学出版社,2018.43.
展开
