概述
粗隆间骨折即股骨粗隆间骨折,X线拍片可明确骨折及移位情况,可能出现内翻畸形、异位现象,自觉疼痛、肿胀等不适。
症状
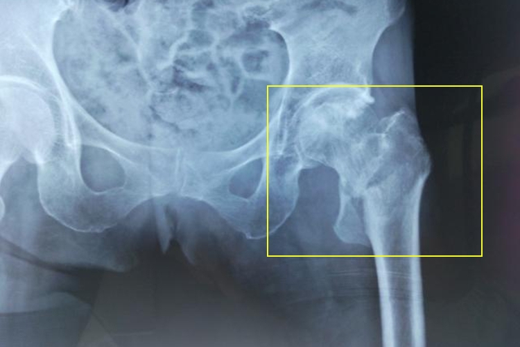
股骨粗隆间骨折后,患者局部会出现疼痛、肿胀、淤斑,下肢外旋畸形明显,可达90°,不能活动。X线拍片可见股骨粗隆间骨折,骨折线由大粗隆斜行向内下而达小粗隆,小粗隆可碎裂成蝶形骨片,折端呈髋内翻畸形。或骨折线由小粗隆上斜行向外下而达大粗隆基底部,近折端外展外旋,远折端向内上移位。


病因
股骨粗隆间骨折是老年人常见的损伤,较常见的病因为间接暴力,如跌倒,也可能为直接暴力撞击所导致。
治疗
股骨粗隆间骨折时,可由专业医生根据骨折情况采取合理的治疗方式。常见的有持续牵引治疗和手术复位内固定治疗,尽可能达到解剖复位,早日活动以避免并发症的发生。其中牵引复位治疗后,需选择内固定器械固定,如鹅头钉、钢板或角状钢板。
参考文献
[1]姜虹.骨外科学 高级医师进阶.第1版[M].北京.中国协和医科大学出版社.2016.154-155.
[2]孟凡龙.现代实用骨科基础及临床诊疗[M].青岛.中国海洋大学出版社.2020.42-43.
[3]张敏,郭智萍.平乐正骨影像学[M].北京.中国中医药出版社.2018.112.
展开
