概述
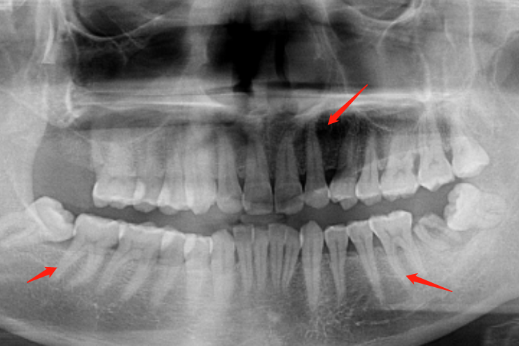
牙根会因咀嚼能力不同,其牙根的大小、形态、数目均不同。若牙根坏死后会呈现出严重的深龋,即龋损部位牙本质呈黄褐或深褐色。
形态及数目
正常牙根因咀嚼力的大小和功能不同,牙根数目和大小也不相同。不论乳牙还是恒牙,其上、下前牙和第一、第二前磨牙通常为单根牙,上颌第一前磨牙多为双根牙,磨牙通常为多根牙。

上颌第一、第二磨牙三根,即近中颊侧根、远中颊侧根及腭侧根;下颌第一、二磨牙为双根,即近中根和远中根;有时下颌第一磨牙为三根,即远中根,再分为颊、舌根。上、下颌第三磨牙的牙根变异较多,常呈融合根。



若牙根发生坏死后则呈现出严重的深龋表现,表现为龋损部位牙本质呈黄褐或深褐色,甚至可看到牙根变黑。

生理意义
牙根在牙槽窝内的稳固是保证牙冠行使其生理功能的前提,稳固的牙根又与其形态密切相关。切牙承受给力较小,多为单根。上颌切牙在咀嚼过程中承受向前、上的力,故其唇面较宽,以加强抵抗力;下颌切牙承受向内、下的力,牙根的唇面与舌面几乎相等。尖牙位于牙列的转弯处,易遭受外力,故牙根特别强大。
后牙主要承担咀嚼任务,承受力大且复杂,故其常为多根,并在牙根的近、远中面有凹陷,颌骨牙槽突嵌入此凹陷中以增强抵抗力。牙根分叉也是支持牙体得以稳固的重要因素,分叉越多,其支持作用则越强。
参考文献
[1]丁文龙,刘学政.系统解剖学.第9版[M].北京.人民卫生出版社.2018.98.
[2]张志愿.口腔科学.第9版[M].北京.人民卫生出版社.2018.6.
[3]姜蕾编著.口腔科疾病诊治[M].长春.吉林科学技术出版社,2019.23-25.
展开
