概述
外源性色素沉着异常患者牙齿表面可出现黄色的色素沉着斑,使牙齿变黄,可能与吸烟有关,需遵医嘱治疗。
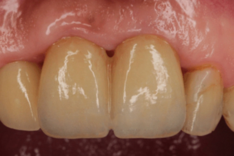
症状
外源性色素沉着异常患者牙齿表面可出现黄色的色素沉着斑,使牙齿变黄,尤其是牙颈部着色较重,同时伴有牙龈萎缩,龈乳头消失,牙齿形态未发生异常改变。

病因
外源性色素沉着异常可能与吸烟有关。烟草中的化学物质如尼古丁和焦油等,会渗入牙齿表面的微小孔隙中,并与牙齿表面的质地结合。这些化学物质被吸附在牙齿表面,会逐渐形成黄褐色斑块,导致牙齿变黄。此外,还可能与长期喝茶、嚼槟榔有关。
治疗
治疗外源性色素沉着异常导致的牙齿变黄,可以进行洁治术,包括牙齿表面的超声洁治、喷砂洁治等,可以去除牙齿表面的色素沉着。冷光美白也是一种有效的治疗方法,通过使用特定的光源和美白凝胶,可以去除牙齿表面的色素沉着,使牙齿变得更白。具体的治疗方案需要根据医生的建议确定。
参考文献
[1]陈谦明.口腔黏膜病学.第5版[M].北京.人民卫生出版社.2020.177.
[2]张震康,俞光岩,徐韬.实用口腔科学.第4版[M].北京.人民卫生出版社.2016.212-213.
展开
