概述
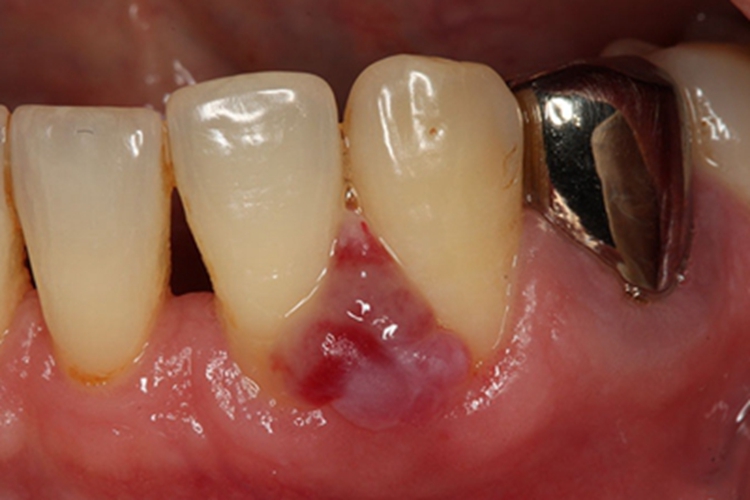
牙龈瘤可发生于患者牙龈部位,皮损表现为圆形或椭圆形肿块,大小不一。
该病与局部刺激因素有关,可在局麻下手术切除。
症状
牙龈瘤多发于女性,以青年及中年人为常见,多发生于牙龈乳头部,位于唇、颊侧者较舌、腭侧者多,最常见的部位是前磨牙区。肿块较局限,呈圆形或椭圆形,有时呈分叶状,大小不一,直径由几毫米至数厘米。


病因
局部刺激因素,包括菌斑、牙石、食物嵌塞或不良修复体的刺激,引起局部长期慢性炎症,致使牙龈结缔组织形成反应性增生物,即牙龈瘤。此外,牙龈瘤可能和内分泌有关,妇女怀孕期间容易发生牙龈瘤,而分娩后会缩小或停止生长。
治疗
对于牙龈瘤可在局麻下手术切除,切除必须彻底,否则易复发。如果复发,仍可手术切除。多次复发者,即使病变波及的牙无松动,也应将牙拔除,防止再发,注意上述治疗应遵医嘱。
参考文献
[1]张志愿.口腔科学.第9版[M].北京.人民卫生出版社.2018.169.
[2]孟焕新.牙周病学.第5版[M].北京.人民卫生出版社.2020.140-141.
[3]张震康,俞光岩,徐韬.实用口腔科学.第4版[M].北京.人民卫生出版社.2016.96.
展开
