概述
阑尾炎患者的腹部平片一般可见盲肠扩张和液气平面,偶尔可见钙化的肠石和异物影。
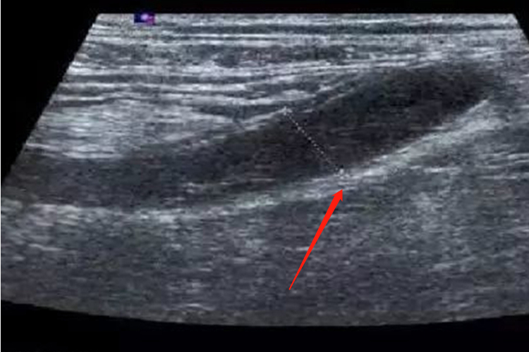
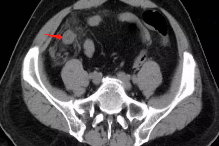
阑尾炎患者超声检查可发现肿大的阑尾或脓肿,而CT敏感性优于超声,治疗方式为手术。
影像学表现
影像学检查一般包括腹部平片、超声和CT,阑尾炎患者进行影像学检查时,腹部平片可见盲肠扩张和液气平面,偶尔可见钙化的肠石和异物影,可帮助诊断。超声检查可发现肿大的阑尾或脓肿。CT的敏感性优于超声,尤其有助于阑尾周围脓肿的诊断。此外,阑尾炎的患者还可能会出现腹痛、厌食、呕吐、乏力等症状。



治疗
阑尾炎多需要进行手术切除治疗,阑尾切除术分为开放式阑尾切除术和腹腔镜阑尾切除术,需根据患者具体情况采用不同的手术方式。传统的开放式阑尾切除术主要应用于具有腹腔镜禁忌证的患者或粘连严重等情况。而腹腔镜阑尾切除术与开放式阑尾切除术相比,具有创伤小、疼痛轻、术后恢复快、并发症少等优点。
单纯性阑尾炎及急性阑尾炎的早期阶段,适当药物治疗即可恢复正常,常用药物有阿奇霉素、甲硝唑、头孢克肟等。如果患者不接受手术治疗,全身情况差或客观条件不允许进行手术治疗,可以选择使用有效的抗生素和补液治疗。
参考文献
[1]陈孝平,汪建平,赵继宗.外科学.第9版[M].北京.人民卫生出版社.2018.371-376.
[2]步宏,李一雷.病理学.第9版[M].北京.人民卫生出版社.2018.214-215.
展开
