概述
没有胰腺癌转移某个部位最严重的说法,胰腺癌一旦发生转移,则病情均严重。
胰腺癌常见的转移部位是附近淋巴结转移、肝转移,以及腹膜转移等。
转移部位
在临床上,当胰腺癌患者出现明显体重减轻和腹水时,就应该怀疑患者出现了转移,而且,一旦发生胰腺癌转移,不论转移到哪个部位,则均说明病情比较严重,常见的转移部位是淋巴结转移、肝转移,以及腹膜转移。
淋巴结转移:淋巴结是胰腺癌最常见的转移部位,最常受累的淋巴结是胰腺周围淋巴结,淋巴结转移多见于胰头前后、十二指肠旁、肝总动脉、肠系膜根部、腹主动脉旁、锁骨上淋巴结,可引起淋巴结肿大,部分可触及。

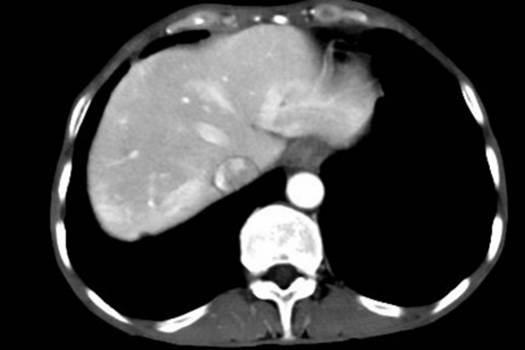
肝转移:肝是胰腺癌远处转移的最常发生部位。肝转移可以发生在胰腺癌最初诊断的时候,也可以发生在切除治疗后的随访期,可引起肝功能受损、黄疸等症状。

腹膜转移:伴有癌性腹水的腹膜转移是肿瘤转移超出腹腔范围的标志,这可通过在骨髓和血流中检测到微小转移灶明确诊断,胰腺癌腹膜转移可出现腹水,引起腹胀、腹痛等症状,进而导致患者营养不良,恶液质,影响患者生存时间。

转移机制
胰腺癌发病与吸烟、肥胖、酗酒、慢性胰腺炎等因素相关,胰腺癌原发胰腺肿瘤生长过程中,新形成的肿瘤细胞从原发瘤释放,侵袭血管,黏附到血管内皮细胞,通过调变局部环境以允许肿瘤细胞存活增殖和继发肿瘤生长。易侵犯邻近组织,侵入毗邻血管,并由此循环到远处器官、淋巴结,形成转移灶。
参考文献
[1]陈孝平,汪建平,赵继宗.外科学.第9版[M].北京.人民卫生出版社.2018.463-465.
[2](美)莱登著.肿瘤转移生物学基础与治疗[M].上海:复旦大学出版社,2015.264-266.
[3]段志军.消化内科学高级医师进阶.第1版[M].北京.中国协和医科大学出版社.2016.446.
展开
