概述
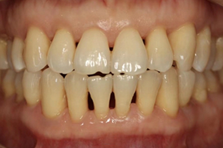
牙龈退缩可见患者下牙龈回缩,患者的牙缝变得很大,伴有牙根面敏感等症状。
该病可能是多因素导致,可采用牙周治疗、正畸治疗、烤瓷牙修复的方式治疗。
症状
牙龈退缩可见患者下牙的牙龈回缩,导致患者的牙缝很大,牙齿较为松动,伴有牙根面敏感、口臭等症状。

病因
牙龈退缩可能是多因素导致的,包括菌斑滞留、刷牙不当、正畸治疗、咬合力过大以及解剖因素等。另外,如果患者患有牙周炎,经过治疗后炎症消退,也可表现为牙龈退缩,从而导致患者的下牙缝变大。
治疗
针对牙龈退缩下牙缝变得很大的症状,轻度或无症状的静止性牙龈退缩,可以观察,暂时不处理。
若牙龈退缩持续进展,患者可遵医嘱进行牙周治疗,通过龈上洁治和龈下刮治、根面平整术把龈上和龈下的牙结石去除干净,萎缩的牙龈会逐渐恢复正常,从而改善牙缝增宽的情况。
严重的患者还可以采用手术治疗,常见的方法有侧向转位瓣手术和游离龈瓣转移术。此外,正畸治疗、烤瓷牙修复也可以帮助改善症状。具体治疗需遵医嘱。
参考文献
[1]孟焕新.牙周病学.第5版[M].北京.人民卫生出版社.2020.175-176.
[2]张震康,俞光岩,徐韬.实用口腔科学.第4版[M].北京.人民卫生出版社.2016.124.
展开
