概述
牙龈退缩可表现为下排牙龈萎缩,接近牙槽骨处的牙龈泛红肿胀,与长期刺激和感染有关,需及时就医治疗。
症状
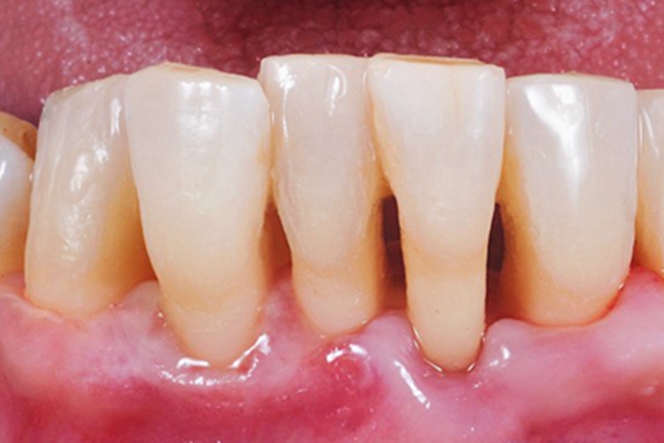
牙龈退缩可表现为下排牙龈萎缩,接近牙根处牙龈略显苍白,接近牙槽骨处的牙龈泛红肿胀,且牙根暴露,牙体变长,容易出现根面龋。

病因
牙龈退缩可能是由于不当的刷牙技术、牙周病菌的侵袭等因素引起的。牙周病菌会产生毒素和酶,导致牙周组织的破坏。牙龈退缩后,牙颈部分暴露,容易积聚菌斑,继续刺激牙周组织。长期刺激和感染,便会导致下排牙龈萎缩红肿。
治疗
对于牙龈退缩导致下排牙龈萎缩红肿的治疗,常用的方法包括膜龈手术和引导性骨再生术等。膜龈手术是通过移植自体软组织或人工材料覆盖暴露的牙颈部分,修复下排牙龈的形态和颜色,减轻红肿。而引导性骨再生术则是利用特殊材料或骨替代物促使牙周组织再生,增加骨量和牙龈覆盖,改善下排牙龈的外观和健康。这些手术需要在专业牙医的指导下进行。
参考文献
[1]孟焕新.牙周病学.第5版[M].北京.人民卫生出版社.2020.175-176.
[2]张震康,俞光岩,徐韬.实用口腔科学.第4版[M].北京.人民卫生出版社.2016.124.
展开
