概述
牙龈增生表现为牙龈体积异常增大,没有早晚期的划分,常见于青春期龈炎、妊娠期龈炎、药物性牙龈肥大等疾病,可通过药物治疗。
症状
牙龈增生没有早晚期的划分,青春期龈炎、妊娠期龈炎、药物性牙龈肥大均有牙龈增生的症状,但是具体临床表现有所不同。
青春期龈炎
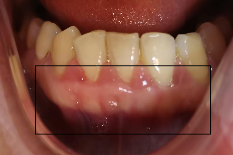
青春期龈炎好发于前牙唇侧的牙龈乳头和龈缘。患者一般因刷牙或咬硬物时出血或口臭而就诊。唇侧龈缘明显肿胀,龈乳头呈球状突起,颜色呈鲜红或暗红色,光亮,质地软,探诊易出血。龈袋形成,但无附着水平的变化。

妊娠期龈炎
妊娠前即有慢性龈炎,从妊娠2~3个月后出现明显症状,至8个月达到高峰,分娩后约2个月龈炎可减轻至妊娠前水平。炎症可发生于个别牙龈或全口牙龈,以前牙区为重。患者常因吮吸或进食易出血而就诊。龈缘和龈乳头呈鲜红或暗红色,松软光亮,有龈袋形成,轻探易出血。一般无疼痛。

药物性牙龈肥大
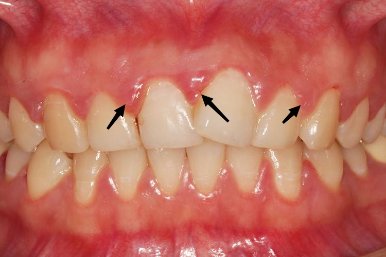
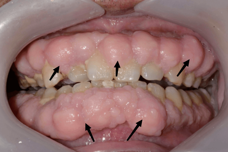
药物性牙龈肥大的牙龈增生一般开始于服药后1~6个月,增生起始于唇颊侧或舌腭侧龈乳头,呈小球状突起于牙龈表面,增生牙龈基底与正常牙龈之间可有明显的沟状界线。增生牙龈可向边缘龈扩展,覆盖部分牙面。牙龈呈淡粉红色,质地坚韧,略有弹性,一般不易出血。无自觉症状,无疼痛。

病因
青春期龈炎、妊娠期龈炎、药物性牙龈肥大有着各自的病因,日常生活中应注意预防。
青春期龈炎
菌斑是青春期龈炎的主要病因。青春期内分泌特别是性激素的改变,可使牙龈对菌斑等局部刺激物产生明显的炎症反应,或使原有的慢性龈炎加重。
妊娠期龈炎
菌斑是妊娠期龈炎的直接病因。妊娠期雌激素(黄体酮)升高可加重原有的病变。妊娠期龈炎患者的龈下菌斑中,中间普氏菌明显增多而成为龈下优势菌,分娩后其数量降至妊娠前水平。
药物性牙龈肥大
长期服用抗癫痫药苯妥英钠,可使已有炎症的牙龈发生纤维性增生。免疫抑制剂环孢素和钙通道阻滞剂如硝苯地平、维拉帕米等也可引起药物性牙龈肥大。
治疗
青春期龈炎、妊娠期龈炎、药物性牙龈肥大在明确诊断后,需要在医生指导下进行针对性治疗。
青春期龈炎
去除局部刺激因素是治疗青春期龈炎的关键。洁治术配合局部药物治疗,如龈袋冲洗、含漱剂含漱(如复方氯己定含漱液),需注意用药应遵医嘱,不可擅自用药。必要时可施行牙龈切除术。
妊娠期龈炎
患者应去除一切局部刺激因素,牙龈炎症明显、龈袋有溢脓时,可遵医嘱使用过氧化氢溶液和生理盐水冲洗,加强漱口。体积较大的妊娠期龈瘤可手术切除。手术时机应尽量选择在妊娠期的4~6个月内,以免引起流产或早产。
药物性牙龈肥大
患者不停药,经认真细致的牙周基础治疗后可获得牙龈肥大消退的效果。对于牙周治疗后牙龈肥大状况改善不明显者,应在内科医师的协助下停药或更换其他药物,也可采取药物交替使用等方法,以减轻副作用。在全身病情稳定时,可进行手术切除并修整牙龈外形。
参考文献
[1]张志愿.口腔科学.第9版[M].北京.人民卫生出版社.2018.64-65.
[2]杜凤芝,熊均平,王新萍主编;孙建欣,徐明录等副主编.口腔内科学[M].北京:中国医药科技出版社,2015.221-222.
