概述
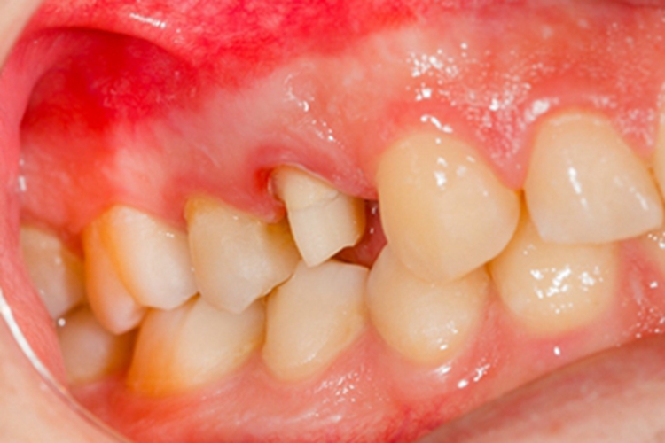
牙龈退缩发生后,牙龈有炎性浸润而充血,颜色很红,牙根暴露形成根部凹陷。该情况可能由多种因素导致,治疗均需遵医嘱进行。
症状
牙龈退缩发生后,可见多颗牙齿出现损害,因退缩较重,牙龈有炎性浸润而充血,颜色很红,牙根暴露形成根部凹陷,导致牙齿敏感的同时,方便了牙菌斑的生成。有时可伴有龋齿、楔状缺损等表现,影响美观。

病因
牙龈退缩露出牙根牙龈很红,可能由多种因素导致,如附着龈过窄、牙龈结缔组织太薄、唇颊系带的高位附着和肌肉牵拉,使用过硬的牙刷、牙膏中磨擦剂的颗粒太粗、拉锯式的横刷法等也可导致。另外,不恰当地使用牙签、正畸治疗、咬合力过大、牙周炎等因素,也容易诱发此种情况。
治疗
对于牙龈退缩露出牙根牙龈很红情况,患者需要明确具体因素,并进行治疗,如改善刷牙方式、去除不良修复体等。同时可进行手术治疗,常见的有膜龈手术、引导性骨再生术治疗等。注意上述治疗均需遵医嘱进行。
参考文献
[1]孟焕新.牙周病学.第5版[M].北京.人民卫生出版社.2020.175-176.
[2]张震康,俞光岩,徐韬.实用口腔科学.第4版[M].北京.人民卫生出版社.2016.124.
展开
