概述
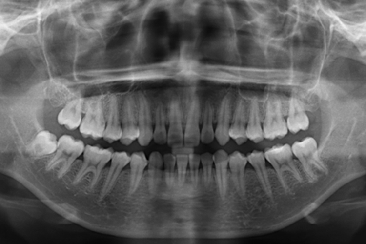
正常牙齿拍片结果显示牙齿排列整齐、上下颌牙的咬合关系正常,可有轻微的错(牙合)畸形,但不影响生理功能。
表现
正常牙齿拍片可以显示出口腔内牙齿的形态,表现为牙齿排列整齐、上下颌牙的咬合关系正常。部分情况下可表现出轻微的错(牙合)畸形,但不影响生理功能,也属于正常的牙齿状态。

牙齿保健
人一生中有两副牙齿,包括乳牙、恒牙,当替牙期恒牙替换乳牙后,将不再换牙。日常应注意保护牙齿,按时刷牙,饭后漱口,配合牙线等帮助清洁口腔牙齿,还要定期对牙齿进行保健,有利于减少龋病的发生。
参考文献
[1]赵志河.口腔正畸学.第7版[M].北京.人民卫生出版社.2020.5.
[2]张志愿.口腔科学.第9版[M].北京.人民卫生出版社.2018.32-33.
展开
