概述
门牙往里凹属于错颌畸形的一种类型,表现为两颗门牙向内凹陷。可由遗传因素、疾病、口腔不良习惯、牙周病等因素导致。
症状
门牙往里凹为错颌畸形的一种类型,可见两颗门牙向口腔内侧凹陷,多呈八字形排列,部分患者存在矫正空间。


病因
门牙往里凹可能是遗传因素导致,也可能与其他因素有关,包括疾病因素(维生素D缺乏引起钙磷代谢障碍、巨舌症、小舌症)、口腔不良习惯,以及乳牙早失、乳牙滞留,造成恒牙萌生困难或者过度生长等。
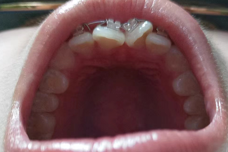
治疗
门牙往里凹可以在医生指导下选用各类矫治器,如固定矫治器、活动矫治器、功能矫治器等进行矫治,达到改善牙颌面结构、功能和美观的目的。
参考文献
[1]赵志河.口腔正畸学.第7版[M].北京.人民卫生出版社.2020.6-10,26-40.
[2]张志愿.口腔科学.第9版[M].北京.人民卫生出版社.2018.224-227.
展开
