概述
日常可以通过临床症状判断自己是否得了蛀牙,表现为牙窝沟部位色泽变黑,牙面上出现白垩色点或斑,由于细菌、牙菌斑等因素导致。
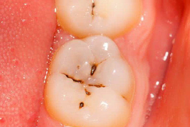
症状
一般可以通过临床症状判断自己是否得了蛀牙,蛀牙初期没有疼痛的症状,但可以观察到牙窝沟部位色泽变黑,平滑牙面上出现白垩色点或斑,随着时间延长,可变为黄褐色或褐色斑点,受到冷、热、酸、甜刺激时会出现疼痛。

病因
蛀牙主要由于细菌、牙菌斑、食物以及牙所处的环境等因素导致,使牙齿脱矿、有机质分解形成牙洞出现临床症状。
治疗
得了蛀牙时,早期的蛀牙可以通过强化家庭护理缓解,如牙线和使用高氟含量的牙膏等,也可到口腔科使用含氟涂料处理。发展至牙本质的蛀牙的治疗方法是通过磨或钻,去除腐败组织,然后充填缺损治疗。
参考文献
[1]周学东.牙体牙髓病学.第5版[M].北京:人民卫生出版社,2020:35-36,41-42.
[2]王玮主编.现代实用口腔医学[M].云南科技出版社,2020,07:48.
展开
