概述
儿童牙齿占位器分为Nance弓间隙保持器、舌弓式间隙保持器、远中导板式间隙保持器等。
儿童牙齿占位器又称间隙保持器,不同种类的外观及适用范围存在一定的区别。
外观及适用范围
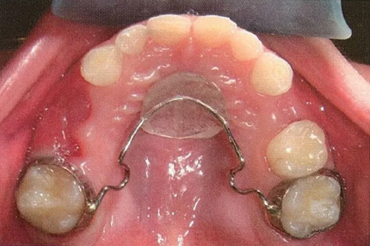
Nance弓间隙保持器
适用于上颌多颗后牙缺失的儿童。在双侧上颌第一恒磨牙或第二乳磨牙上粘接带环,并在舌侧焊接Nance弓基托抵住上腭前部,防止磨牙前移,需要注意上腭黏膜是否压迫损伤。

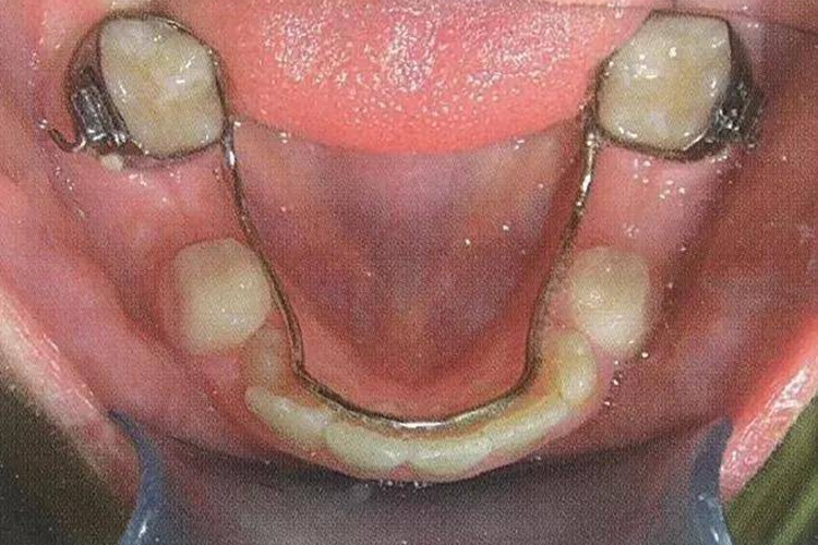
舌弓式间隙保持器
适用于下颌多颗后牙缺失的儿童,在双侧第一恒磨牙或第二乳磨牙上粘接带环,并在舌侧焊接舌弓,舌弓前部贴在下颌切牙的舌侧,保持牙弓长度。使用这种保持器,主要需要控制时间,以免影响牙弓发育。

远中导板式间隙保持器
远中导板式间隙保持器的远中导板需要放置在第一恒磨牙的近中面。此种间隙保持器通常适用于第二乳磨牙早失,第一恒磨牙尚未萌出或仅部分萌出的儿童。

注意事项
儿童佩戴间隙保持器期间,应注意口腔卫生,以免滋生细菌,诱发龋齿、牙龈炎等口腔疾病。日常还应尽量避免吃过粘的食物,如粽子、年糕等,以免将保持器粘掉,影响最终效果。
参考文献
[1]朱红著.儿童错畸形早期矫正朱红2020观点[M].科学技术文献出版社,2019,124.
[2]林久祥,赵铱民主编.中华医学百科全书临床医学口腔医学3[M].中国协和医科大学出版社,2019,145.
展开
