概述
门牙黄斑通常指黄斑牙,又称氟斑牙,常因长期摄入过量氟而引起,表现为牙齿的牙釉质呈现粉笔样白垩色斑块或黄褐色、暗棕色斑块。
症状
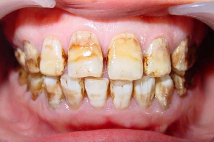
门牙黄斑一般为黄斑牙,又称氟斑牙,恒牙常多见,乳牙少见,表现为牙齿的牙釉质呈现粉笔样白垩色斑块或黄褐色、暗棕色斑块,严重者可合并牙冠表面残缺。氟斑牙患牙耐磨性差,但对酸蚀的抵抗力强。

病因
氟斑牙病发生的根本原因为过量的氟摄入,但形成机制尚不完全清楚。
治疗
出现门牙黄斑的患者,应注意改善生活地的不利条件,降低氟的摄入量,以预防本病的发生。轻症者无需处理,着色较深而无明显缺损的患牙,可用漂白脱色法脱色,重度且有缺损的患牙,可用复合树脂直接贴面、瓷贴面或牙冠等修复方法进行处理。
参考文献
[1]王旭霞,杨征主编.全国普通高等医学院校五年制临床医学专业“十三五”规划教材.口腔科学[M].北京.中国医药科技出版社.2016.133.
[2]陈美玲,杜光主编;张程亮,贡雪芃,李娟副主编.慢性病用药指导丛书.口腔科疾病用药分册[M].武汉.湖北科学技术出版社.2015.29-30.
展开
