概述
病毒性结膜炎可见患处出现白点,周围黏膜水肿、充血。由腺病毒等感染引起,尽量避免与他人接触。
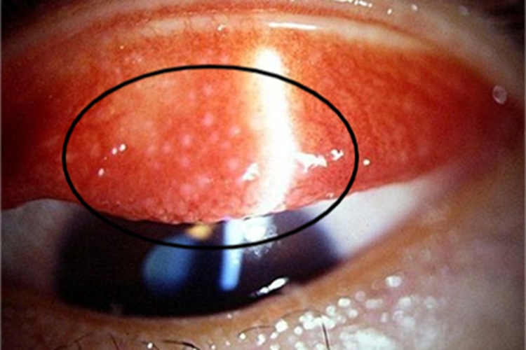
症状
病毒性结膜炎可见患处出现白点,散在分布,针尖至粟粒大小,周围黏膜水肿、充血,患者有明显的异物感,常伴有畏光、流泪、刺痛等不适,以及有水样分泌物。

病因
病毒性结膜炎主要由腺病毒、肠道病毒、单纯疱疹病毒等感染引起;可出现严重流行,但多呈散发性。
治疗
病毒性结膜炎发作时,尽量避免与他人接触,少去公众场合,可遵医嘱予以局部冷敷和使用抗病毒药物控制病情,如阿昔洛韦滴眼液、利巴韦林滴眼液,必要时可使用糖皮质激素制剂,如妥布霉素地塞米松滴眼液。需注意的是,以上治疗均需在医生指导下进行。
参考文献
[1]杨培增,范先群.眼科学.第9版[M].北京.人民卫生出版社.2018.90-94.
[2]李玲主编.现代眼科疾病诊疗学[M].云南科学技术出版社,2020.07.103-105.
展开
