概述
表皮痣可见脚踝长斑,表面光滑不隆起。因表皮细胞发育过度造成表皮局限性发育异常所致,尚无理想的疗法。
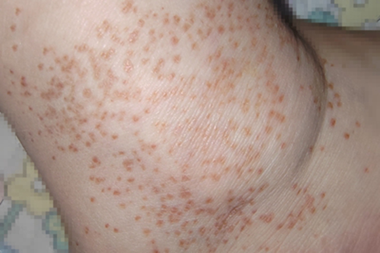
症状
表皮痣可累及脚踝,见患处皮肤长斑,密集分布,针尖至粟粒大小,表面光滑不隆起,皮损中间可夹杂正常皮肤,自觉瘙痒,可伴神经、骨骼、心血管以及泌尿生殖系统发育异常。

病因
表皮痣是因表皮细胞发育过度造成表皮局限性发育异常所致,呈疣状增生为特点的表皮肿瘤,常染色体显性遗传。
治疗
表皮痣尚无理想的疗法。当损害突然迅速增长、结节或溃疡时,应做活检以祛除恶变。小面积者可试用激光和冷冻疗法或手术切除。需注意的是,以上治疗均需在医生指导下进行。
参考文献
[1]朴永君.皮肤性病学;高级医师进阶.第1版[M].北京.中国协和医科大学出版社.2016.356-357.
[2]王丽昆.皮肤科疾病临床诊疗学[M].吉林科学技术出版社.2016.217-218.
展开
