概述
年龄相关性白内障分为皮质性白内障、核性白内障及后囊下白内障。
年龄相关性白内障是晶状体老化后的退行性改变,需手术治疗。
症状
年龄相关性白内障可分为3种类型:皮质性、核性以及后囊下白内障。
皮质性白内障:是最常见的类型,典型的皮质性白内障按其病变发展可分为4期。初发期浑浊出现在晶体周边皮质,呈楔形;膨胀期浑浊向中心扩展,瞳孔区晶体逐渐浑浊,视力也明显下降;成熟期晶状体完全浑浊呈乳白色,水肿消退;过熟期晶状体内水分丢失,晶体缩小,皮质分解液化,晶体核下沉,视力稍有提高。

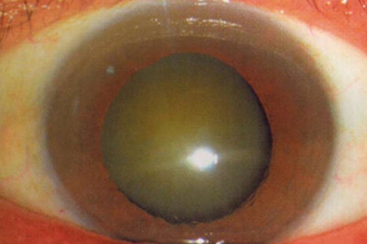
核性白内障:此型白内障发病较早,进展缓慢。随年龄增大,晶状体核密度逐渐增加,颜色变深,但对视力无明显影响。核性白内障随病程进展核的颜色逐渐加深而呈黄褐色、棕色、棕黑色甚至黑色。

后囊下白内障:晶状体后囊膜下浅层皮质出现棕黄色浑浊,为许多致密小点组成,其中有小空泡和结晶样颗粒,外观似锅巴状。由于浑浊位于视轴,所以早期就会出现明显视力障碍。

病因
年龄相关性白内障,它是晶状体老化后的退行性改变,是多种因素综合作用的结果。年龄、职业、性别、紫外线辐射、糖尿病、高血压和营养不良等均是白内障的危险因素。
治疗
年龄相关性白内障,手术治疗仍然是主要治疗手段。通常采用在手术显微镜下施行的白内障超声乳化术,或白内障囊外摘除术,联合人工晶状体植入术,可以获得满意的效果。需注意的是,以上治疗均需在医生指导下进行。
参考文献
[1]杨培增,范先群.眼科学.第9版[M].北京.人民卫生出版社.2018.133-138.
[2]张旭东.实用眼科学.第1版[M].北京.科学出版社.2015.108-110.
展开
