概述
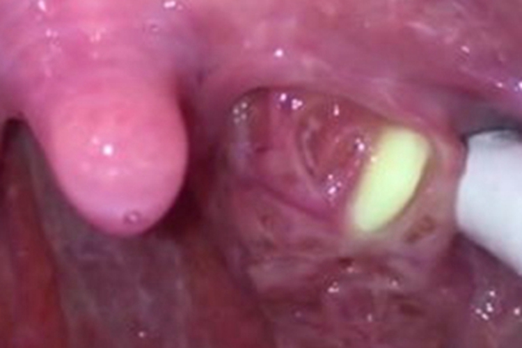
扁桃体结石可见结石质地坚硬,呈黄白色硬块状,表面光滑。
本病的发生多是由于扁桃体长期受炎症刺激等因素引起的,可遵医嘱进行治疗。
症状
扁桃体结石多发生于扁桃体隐窝处,可见结石质地坚硬,呈黄白色硬块状,表面光滑,覆以白色黏膜样物质,此处明显肿胀,影响患者进食。

病因
扁桃体结石黄白色硬块的发生多是由于扁桃体长期受炎症刺激、隐窝引流不畅,使上皮细胞落在隐窝内,长期聚集钙化而成。
治疗
针对扁桃体结石黄白色硬块的症状,患者可在医生的指导下应用生理盐水、硼酸溶液进行漱口,较小的结石可能会随漱口液消除。
若是无法消除,可由医生采用钳取法、扁桃体剥离取石等进行治疗。若合并扁桃体炎症时,可给予抗生素控制感染,如阿莫西林胶囊、头孢克洛胶囊等。具体药物以及治疗措施患者应遵循医生的建议进行治疗。
治疗期间,患者应养成良好的口腔卫生习惯,饭后及时漱口,早晚刷牙,少吃辛辣、油腻食物,减少对患处部位的刺激。
参考文献
[1]庞国明主编.实用结石病临床手册[M].北京.中国中医药出版社.2015.329.
展开
