概述
牙龈菜花状常见于药物性牙龈增生、牙龈瘤等情况,患者牙龈会出现菜花状肿物,肿物大小不一,且多数患者无自觉症状。
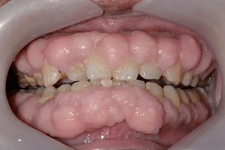
症状
牙龈出现菜花状肿物常见于药物性牙龈增生、牙龈瘤等情况,具体症状有所差异。
药物性牙龈增生:药物性牙龈增生主要表现为龈乳头呈球状、结节状,增生的牙龈表面可呈桑葚状或呈分叶状,形似菜花状,增生的牙龈基底与正常牙龈之间可有明显的沟状界限。增生的牙龈组织一般呈淡粉红色,质地坚韧,略弹性,不易出血,多数患者无自觉症状。

牙龈瘤:牙龈瘤以女性较多,以青年及中年人为常见。肿块一般较局限,呈圆形或椭圆形,有时呈分叶状,形似菜花状,大小不一,直径由几毫米至数厘米。肿块有的有蒂,如息肉状,有的无蒂,基底宽广。

病因
牙龈出现菜花状肿物的情况不同,病因也不完全相同。
药物性牙龈增生:药物性牙龈增生主要是由于长期服用某些药物,而引起牙龈的纤维性增生和体积增大,如苯妥英钠片等抗癫痫药物、环孢素软胶囊等免疫抑制剂等。
牙龈瘤:牙龈瘤常见于局部刺激因素引起,如菌斑、牙石、食物嵌塞或不良修复体等刺激导致局部长期的慢性炎症,致使牙龈结缔组织形成反应性增生物。内分泌改变也是牙龈瘤的主要因素,妇女怀孕期间容易发生牙龈瘤,分娩后则缩小或停止生长。
治疗
牙龈出现菜花状肿物,患者需要在医生指导下进行对因治疗。
药物性牙龈增生:药物性牙龈增生最根本的治疗是停止使用引起牙龈增生的药物,对于病情不允许停药者宜更换药物或与其他药物交替使用。药物性牙龈增生的基础治疗包括洁治、刮治以清除牙菌斑、牙石,并消除其他一切导致菌斑,经过治疗效果不佳者需进行牙龈切除并成形术。
牙龈瘤:牙龈瘤患者可在局麻下进行手术切除,切除必须彻底,否则易复发,一般需将病变所涉及的牙同时拔除。
参考文献
[1]李小鹰.中华老年医学.第1版[M].北京.人民卫生出版社.2016.479-480.
[2]张志愿.口腔科学.第9版[M].北京.人民卫生出版社.2018.169.172-173.
[3]孟焕新.牙周病学.第5版[M].北京.人民卫生出版社.2020.140.
